电话:
+86 (0512) 65829739
传真:
+86 (010) 6788 5057
电子邮件:
orders@antibodies-online.cn

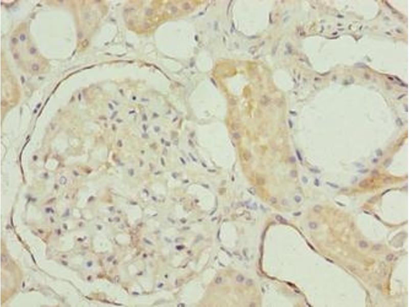
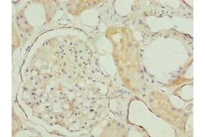
MRPL27 抗体 (AA 1-148)

The 兔 多克隆 anti-MRPL27 antibody is suitable to detect MRPL27 in samples from 人. It has been validated for ELISA 和 IHC.
产品编号 ABIN7142385
发货至: 中国
Contact our Customer Service for availability and price in your country. Contact Info

Our Local Distributor

中国
北京 101111
No. 88 KeChuang 6th Street
Beijing Economic Technological Development Area
Room 801-803
4A Biotech Co.,Ltd.
Tel +86 (0512) 65829739 传真 +86 (010) 6788 5057

Quick Overview for MRPL27 抗体 (AA 1-148) (ABIN7142385)

抗原

See all MRPL27 抗体
MRPL27 (Mitochondrial Ribosomal Protein L27 (MRPL27))

适用

  • 7
  • 2
  • 1

宿主

  • 7

克隆类型

  • 7
多克隆

标记

  • 3
  • 2
  • 1
  • 1
This MRPL27 antibody is un-conjugated

应用范围

  • 5
  • 3
  • 2
ELISA, Immunohistochemistry (IHC)
  • 抗原表位

    • 4
    • 1
    AA 1-148

    原理

    MRPL27 Antibody

    纯化方法

    Protein G purified

    纯度

    >95 %

    免疫原

    Recombinant Human 39S ribosomal protein L27, mitochondrial protein (1-148AA)

    亚型

    IgG
  • 应用备注

    Optimal working dilution should be determined by the investigator.

    限制

    仅限研究用
  • 状态

    Liquid

    缓冲液

    Preservative: 0.03 % Proclin 300
    Constituents: 50 % Glycerol, 0.01M PBS, PH 7.4

    储存液

    ProClin

    注意事项

    This product contains ProClin: a POISONOUS AND HAZARDOUS SUBSTANCE which should be handled by trained staff only.

    储存条件

    -20 °C,-80 °C

    储存方法

    Upon receipt, store at -20°C or -80°C. Avoid repeated freeze.
  • 抗原

    MRPL27 (Mitochondrial Ribosomal Protein L27 (MRPL27))

    别名

    MRPL27

    背景

    MRPL27 antibody, HSPC250 antibody, 39S ribosomal protein L27 antibody, mitochondrial antibody, L27mt antibody, MRP-L27 antibody, Mitochondrial large ribosomal subunit protein bL27m antibody

    UniProt

    Q9P0M9
You are here: