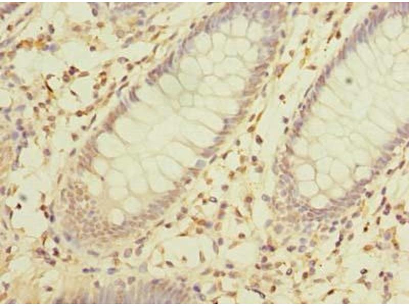
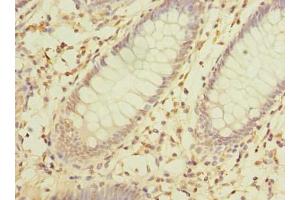
MRPL16 抗体 (AA 37-251)
Our Local Distributor
北京 101111
Quick Overview for MRPL16 抗体 (AA 37-251) (ABIN7142357)
抗原
See all MRPL16 抗体适用
宿主
克隆类型
标记
应用范围
-
-
抗原表位
- AA 37-251
-
原理
- MRPL16 Antibody
-
纯化方法
- Protein G purified
-
纯度
- >95 %
-
免疫原
- Recombinant Human 39S ribosomal protein L16, mitochondrial protein (37-251AA)
-
亚型
- IgG
-
-
-
-
应用备注
- Optimal working dilution should be determined by the investigator.
-
限制
- 仅限研究用
-
-
-
状态
- Liquid
-
缓冲液
-
Preservative: 0.03 % Proclin 300
Constituents: 50 % Glycerol, 0.01M PBS, PH 7.4 -
储存液
- ProClin
-
注意事项
- This product contains ProClin: a POISONOUS AND HAZARDOUS SUBSTANCE which should be handled by trained staff only.
-
储存条件
- -20 °C,-80 °C
-
储存方法
- Upon receipt, store at -20°C or -80°C. Avoid repeated freeze.
-
-
- MRPL16 (Mitochondrial Ribosomal Protein L16 (MRPL16))
-
别名
- MRPL16
-
背景
-
Background: Component of the large subunit of mitochondrial ribosome.
Aliases: 39S ribosomal protein L16 antibody, 39S ribosomal protein L16 mitochondrial antibody, L16mt antibody, mitochondrial antibody, Mitochondrial ribosomal protein L16 antibody, MRP-L16 antibody, Mrpl16 antibody, PNAS 111 antibody, RM16_HUMAN antibody
-
UniProt
- Q9NX20
抗原
-