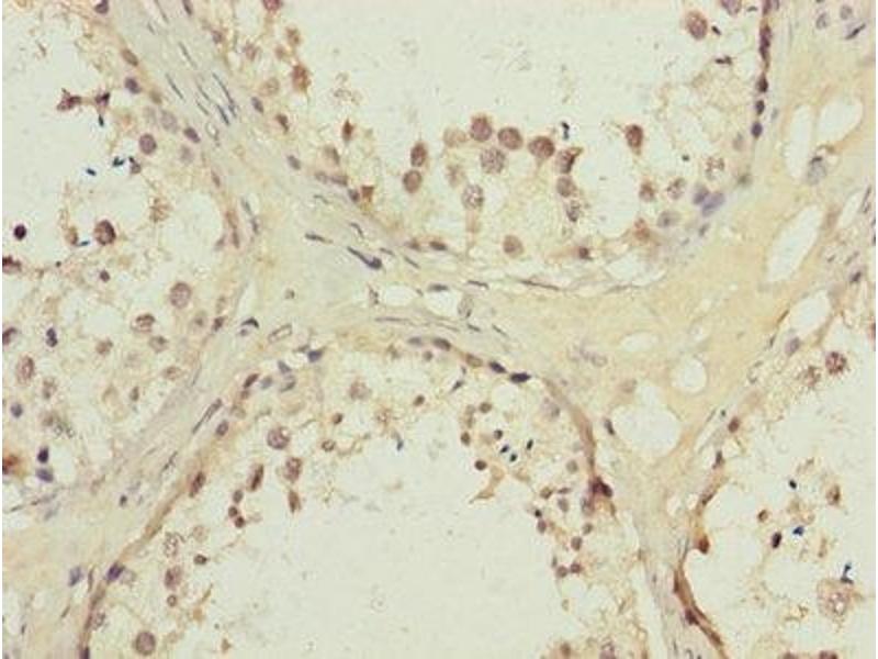
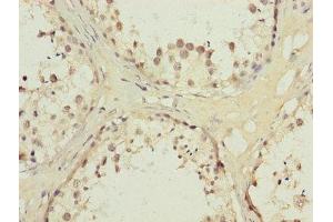
AKR1D1 抗体 (AA 1-200)
Our Local Distributor
北京 101111
Quick Overview for AKR1D1 抗体 (AA 1-200) (ABIN7142330)
抗原
See all AKR1D1 抗体适用
宿主
克隆类型
标记
应用范围
-
-
抗原表位
- AA 1-200
-
原理
- AKR1D1 Antibody
-
纯化方法
- Protein G purified
-
纯度
- >95 %
-
免疫原
- Recombinant Human 3-oxo-5-beta-steroid 4-dehydrogenase protein (1-200AA)
-
亚型
- IgG
-
-
-
-
应用备注
- Optimal working dilution should be determined by the investigator.
-
限制
- 仅限研究用
-
-
-
状态
- Liquid
-
缓冲液
-
Preservative: 0.03 % Proclin 300
Constituents: 50 % Glycerol, 0.01M PBS, PH 7.4 -
储存液
- ProClin
-
注意事项
- This product contains ProClin: a POISONOUS AND HAZARDOUS SUBSTANCE which should be handled by trained staff only.
-
储存条件
- -20 °C,-80 °C
-
储存方法
- Upon receipt, store at -20°C or -80°C. Avoid repeated freeze.
-
-
- AKR1D1 (Aldo-Keto Reductase Family 1, Member D1 (AKR1D1))
-
别名
- AKR1D1
-
背景
-
Background: Efficiently catalyzes the reduction of progesterone, androstenedione, 17-alpha-hydroxyprogesterone and testosterone to 5-beta-reduced metabolites. The bile acid intermediates 7-alpha,12-alpha-dihydroxy-4-cholesten-3-one and 7-alpha-hydroxy-4-cholesten-3-one can also act as substrates.
Aliases: 3-oxo-5-beta-steroid 4-dehydrogenase antibody, 3o5bred antibody, AK1D1_HUMAN antibody, AKR1D1 antibody, aldo keto reductase family 1 member D1 (delta 4 3 ketosteroid 5 beta reductase) antibody, Aldo keto reductase family 1 member D1 antibody, Aldo-keto reductase family 1 member D1 antibody, CBAS2 antibody, Delta(4) 3 ketosteroid 5 beta reductase antibody, Delta(4) 3 oxosteroid 5 beta reductase antibody, Delta(4)-3-ketosteroid 5-beta-reductase antibody, Delta(4)-3-oxosteroid 5-beta-reductase antibody, SRD5B1 antibody, steroid 5 beta reductase beta polypeptide 1 (3 oxo 5 beta steroid delta 4 dehydrogenase beta 1) antibody, steroid 5 beta reductase antibody
-
UniProt
- P51857
-
途径
- Steroid Hormone Biosynthesis, C21-Steroid Hormone Metabolic Process, Monocarboxylic Acid Catabolic Process
抗原
-