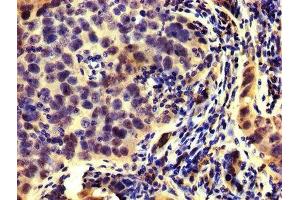
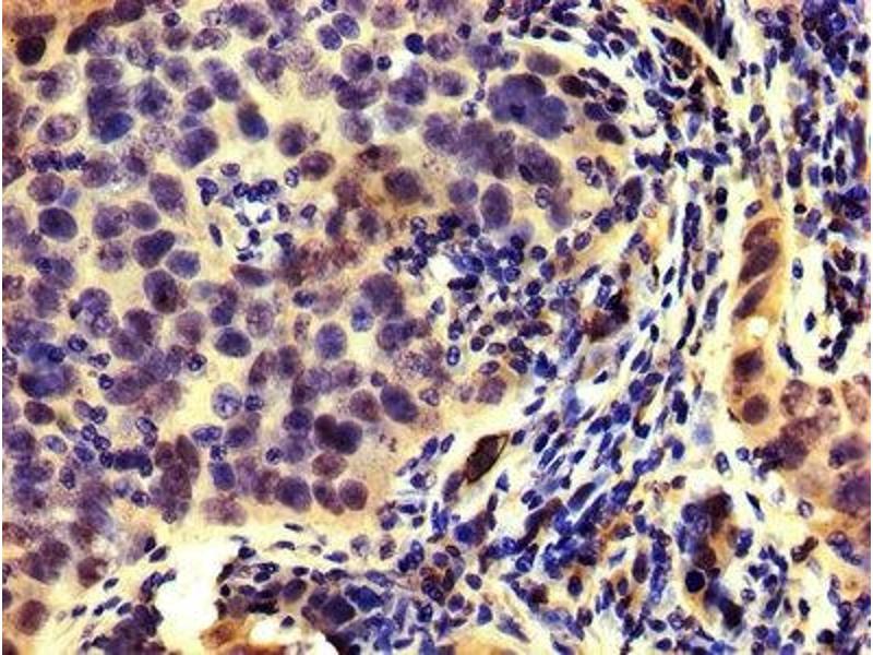
HMGCR 抗体 (AA 588-887)
Our Local Distributor
北京 101111
Quick Overview for HMGCR 抗体 (AA 588-887) (ABIN7142292)
抗原
See all HMGCR 抗体适用
宿主
克隆类型
标记
应用范围
-
-
抗原表位
- AA 588-887
-
原理
- HMGCR Antibody
-
纯化方法
- Protein G purified
-
纯度
- >95 %
-
免疫原
- Recombinant Human 3-hydroxy-3-methylglutaryl-coenzyme A reductase protein (588-887AA)
-
亚型
- IgG
-
-
-
-
应用备注
- Optimal working dilution should be determined by the investigator.
-
限制
- 仅限研究用
-
-
-
状态
- Liquid
-
缓冲液
-
Preservative: 0.03 % Proclin 300
Constituents: 50 % Glycerol, 0.01M PBS, PH 7.4 -
储存液
- ProClin
-
注意事项
- This product contains ProClin: a POISONOUS AND HAZARDOUS SUBSTANCE which should be handled by trained staff only.
-
储存条件
- -20 °C,-80 °C
-
储存方法
- Upon receipt, store at -20°C or -80°C. Avoid repeated freeze.
-
-
- HMGCR (3-Hydroxy-3-Methylglutaryl-CoA Reductase (HMGCR))
-
别名
- HMGCR
-
背景
-
Background: Transmembrane glycoprotein that is the rate-limiting enzyme in cholesterol biosynthesis as well as in the biosynthesis of nonsterol isoprenoids that are essential for normal cell function including ubiquinone and geranylgeranyl proteins.
Aliases: 3 hydroxy 3 methylglutaryl CoA reductase antibody, 3 hydroxy 3 methylglutaryl Coenzyme A reductase antibody, 3 hydroxymethylglutaryl CoA reductase antibody, 3-hydroxy-3-methylglutaryl CoA reductase (NADPH) antibody, 3-hydroxy-3-methylglutaryl-coenzyme A reductase antibody, 3H3M antibody, HMDH_HUMAN antibody, HMG CoA reductase antibody, HMG CoAR antibody, HMG-CoA reductase antibody, Hmgcr antibody, Hydroxymethylglutaryl CoA reductase antibody, LDLCQ3 antibody, MGC103269 antibody, Red antibody
-
UniProt
- P04035
-
途径
- AMPK Signaling, Negative Regulation of Hormone Secretion, Regulation of Lipid Metabolism by PPARalpha
抗原
-