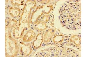
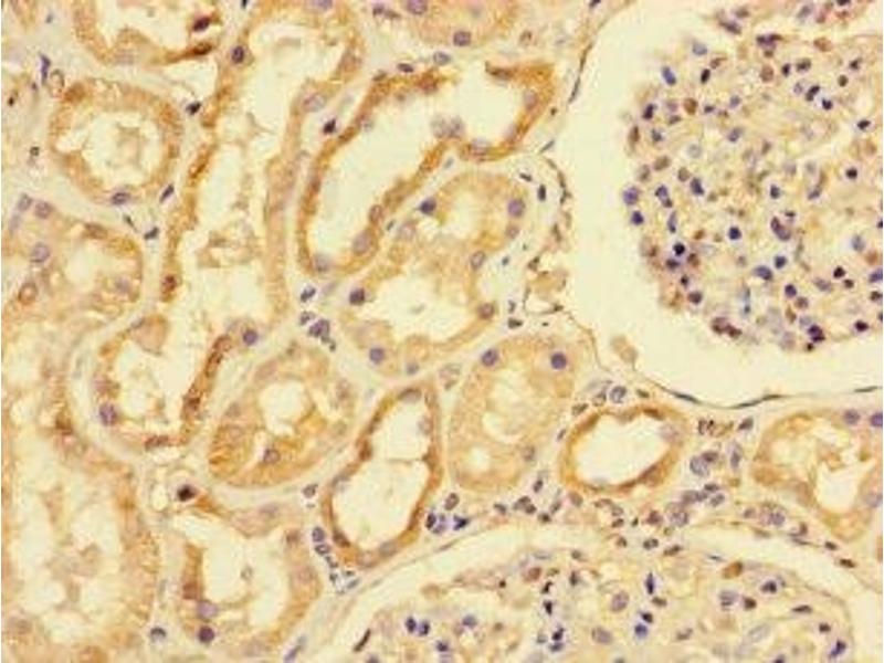
MRPS10 抗体 (AA 1-201)
Our Local Distributor
北京 101111
Quick Overview for MRPS10 抗体 (AA 1-201) (ABIN7142242)
抗原
See all MRPS10 抗体适用
宿主
克隆类型
标记
应用范围
-
-
抗原表位
- AA 1-201
-
原理
- MRPS10 Antibody
-
纯化方法
- Protein G purified
-
纯度
- >95 %
-
免疫原
- Recombinant Human 28S ribosomal protein S10, mitochondrial protein (1-201AA)
-
亚型
- IgG
-
-
-
-
应用备注
- Optimal working dilution should be determined by the investigator.
-
限制
- 仅限研究用
-
-
-
状态
- Liquid
-
缓冲液
-
Preservative: 0.03 % Proclin 300
Constituents: 50 % Glycerol, 0.01M PBS, PH 7.4 -
储存液
- ProClin
-
注意事项
- This product contains ProClin: a POISONOUS AND HAZARDOUS SUBSTANCE which should be handled by trained staff only.
-
储存条件
- -20 °C,-80 °C
-
储存方法
- Upon receipt, store at -20°C or -80°C. Avoid repeated freeze.
-
-
- MRPS10 (Mitochondrial Ribosomal Protein S10 (MRPS10))
-
别名
- MRPS10
-
背景
-
Background: mitochondrial inner membrane, mitochondrion, mitochondrial translation, mitochondrial translational elongation, mitochondrial translational initiation, mitochondrial translational termination, mitophagy in response to mitochondrial depolarization, organelle organization, positive regulation of defense response to virus by host, xenophagy
Aliases: MRPS10 antibody, MSTP04028S ribosomal protein S10 antibody, mitochondrial antibody, MRP-S10 antibody, S10mt antibody, Mitochondrial small ribosomal subunit protein uS10m antibody
-
UniProt
- P82664
抗原
-