电话:
+86 (0512) 65829739
传真:
+86 (010) 6788 5057
电子邮件:
orders@antibodies-online.cn

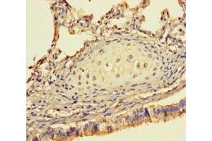
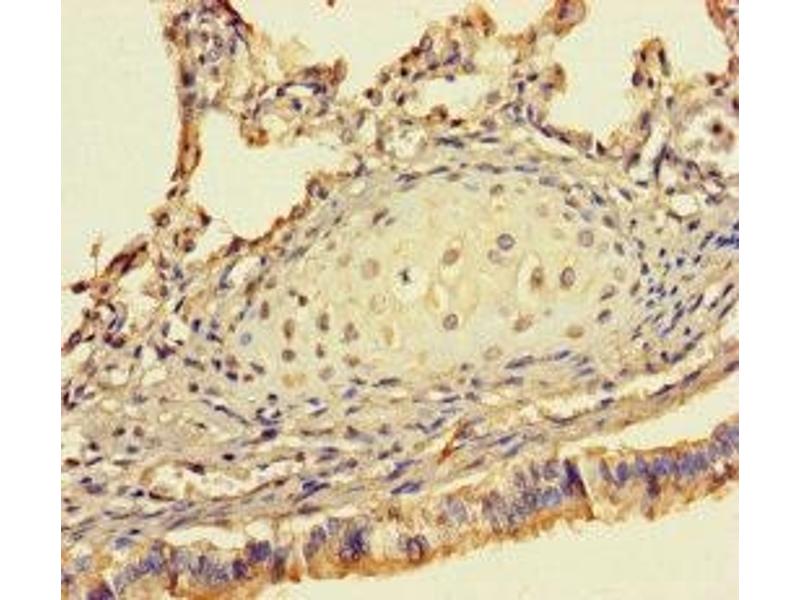
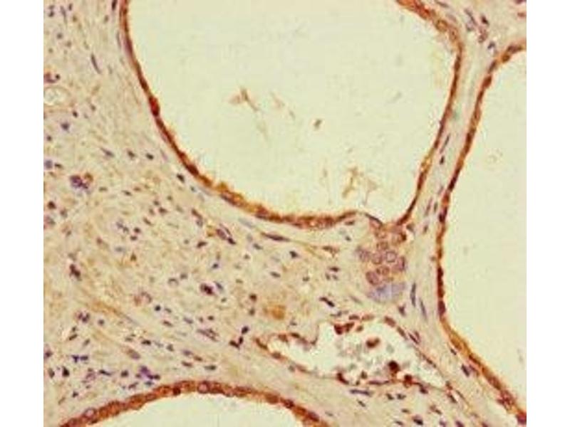
26S Proteasome Complex Subunit SEM1 (SEM1) (AA 1-70) 抗体

The 兔 多克隆 anti-26S Proteasome Complex Subunit SEM1 antibody (ABIN7142194) specifically detects 26S Proteasome Complex Subunit SEM1 in ELISA 和 IHC. The antibody is reactive with 人 samples.
产品编号 ABIN7142194
发货至: 中国
Contact our Customer Service for availability and price in your country. Contact Info

Our Local Distributor

中国
北京 101111
No. 88 KeChuang 6th Street
Beijing Economic Technological Development Area
Room 801-803
4A Biotech Co.,Ltd.
Tel +86 (0512) 65829739 传真 +86 (010) 6788 5057

Quick Overview for 26S Proteasome Complex Subunit SEM1 (SEM1) (AA 1-70) 抗体 (ABIN7142194)

抗原

26S Proteasome Complex Subunit SEM1 (SEM1)

适用

宿主

  • 4

克隆类型

  • 4
多克隆

标记

  • 1
  • 1
  • 1
  • 1
非结合性

应用范围

  • 3
  • 1
  • 1
ELISA, Immunohistochemistry (IHC)
  • 抗原表位

    AA 1-70

    原理

    SEM1 Antibody

    纯化方法

    Protein G purified

    纯度

    >95 %

    免疫原

    Recombinant Human 26S proteasome complex subunit SEM1 protein (1-70AA)

    亚型

    IgG
  • 应用备注

    Optimal working dilution should be determined by the investigator.

    限制

    仅限研究用
  • 状态

    Liquid

    缓冲液

    Preservative: 0.03 % Proclin 300
    Constituents: 50 % Glycerol, 0.01M PBS, PH 7.4

    储存液

    ProClin

    注意事项

    This product contains ProClin: a POISONOUS AND HAZARDOUS SUBSTANCE which should be handled by trained staff only.

    储存条件

    -20 °C,-80 °C

    储存方法

    Upon receipt, store at -20°C or -80°C. Avoid repeated freeze.
  • 抗原

    26S Proteasome Complex Subunit SEM1 (SEM1)

    别名

    SEM1

    背景

    Background: Component of the 26S proteasome, a multiprotein complex involved in the ATP-dependent degradation of ubiquitinated proteins. This complex plays a key role in the maintenance of protein homeostasis by removing misfolded or damaged proteins, which could impair cellular functions, and by removing proteins whose functions are no longer required. Therefore, the proteasome participates in numerous cellular processes, including cell cycle progression, apoptosis, or DNA damage repair (PubMed:15117943). Component of the TREX-2 complex (transcription and export complex 2), composed of at least ENY2, GANP, PCID2, SEM1, and either centrin CETN2 or CETN3 (PubMed:22307388). The TREX-2 complex functions in docking export-competent ribonucleoprotein particles (mRNPs) to the nuclear entrance of the nuclear pore complex (nuclear basket). TREX-2 participates in mRNA export and accurate chromatin positioning in the nucleus by tethering genes to the nuclear periphery. Binds and stabilizes BRCA2 and is thus involved in the control of R-loop-associated DNA damage and thus transcription-associated genomic instability. R-loop accumulation increases in SEM1-depleted cells.

    Aliases: SEM1 antibody, C7orf76 antibody, DSS1 antibody, SHFDG1 antibody, SHFM1 antibody, 26S proteasome complex subunit SEM1 antibody, 26S proteasome complex subunit DSS1 antibody, Deleted in split hand/split foot protein 1 antibody, Split hand/foot deleted protein 1 antibody, Split hand/foot malformation type 1 protein antibody

    UniProt

    P60896
You are here: