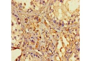
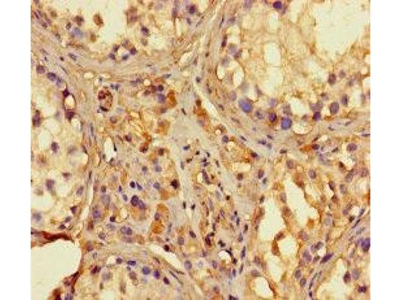
RNASEL 抗体 (AA 330-741)
Our Local Distributor
北京 101111
Quick Overview for RNASEL 抗体 (AA 330-741) (ABIN7142130)
抗原
See all RNASEL 抗体适用
宿主
克隆类型
标记
应用范围
-
-
抗原表位
- AA 330-741
-
原理
- RNASEL Antibody
-
纯化方法
- Protein G purified
-
纯度
- >95 %
-
免疫原
- Recombinant Human 2-5A-dependent ribonuclease protein (330-741AA)
-
亚型
- IgG
-
-
-
-
应用备注
- Optimal working dilution should be determined by the investigator.
-
限制
- 仅限研究用
-
-
-
状态
- Liquid
-
缓冲液
-
Preservative: 0.03 % Proclin 300
Constituents: 50 % Glycerol, 0.01M PBS, PH 7.4 -
储存液
- ProClin
-
注意事项
- This product contains ProClin: a POISONOUS AND HAZARDOUS SUBSTANCE which should be handled by trained staff only.
-
储存条件
- -20 °C,-80 °C
-
储存方法
- Upon receipt, store at -20°C or -80°C. Avoid repeated freeze.
-
-
- RNASEL (Ribonuclease L (2',5'-Oligoisoadenylate Synthetase-Dependent) (RNASEL))
-
别名
- RNASEL
-
背景
-
Background: Endoribonuclease that functions in the interferon (IFN) antiviral response. In INF treated and virus infected cells, RNASEL probably mediates its antiviral effects through a combination of direct cleavage of single-stranded viral RNAs, inhibition of protein synthesis through the degradation of rRNA, induction of apoptosis, and induction of other antiviral genes. RNASEL mediated apoptosis is the result of a JNK-dependent stress-response pathway leading to cytochrome c release from mitochondria and caspase-dependent apoptosis. Therefore, activation of RNASEL could lead to elimination of virus infected cells under some circumstances. Might play a central role in the regulation of mRNA turnover.
Aliases: 2 5A dependent ribonuclease antibody, 2 5A dependent RNase antibody, 2' 5' oligoisoadenylate synthetase dependent antibody, 2-5A-dependent ribonuclease antibody, 2-5A-dependent RNase antibody, DKFZp781D08126 antibody, Interferon induced 2 5A dependent RNase antibody, MGC104972 antibody, MGC133329 antibody, PRCA 1 antibody, PRCA1 antibody, Ribonuclease 4 antibody, Ribonuclease L (2' 5' oligoisoadenylate synthetase dependent) antibody, Ribonuclease L antibody, Ribonuclease4 antibody, RibonucleaseL antibody, RN5A_HUMAN antibody, RNase L antibody, Rnasel antibody, RNS 4 antibody, RNS4 antibody
-
UniProt
- Q05823
-
途径
- Hepatitis C
抗原
-