电话:
+86 (0512) 65829739
传真:
+86 (010) 6788 5057
电子邮件:
orders@antibodies-online.cn

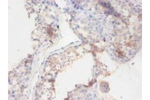
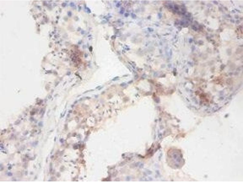
Butyrylcholinesterase 抗体 (AA 1-141)

The 兔 多克隆 anti-Butyrylcholinesterase antibody (ABIN7141195) specifically detects Butyrylcholinesterase in ELISA 和 IHC. The antibody is reactive with 犬 samples.
产品编号 ABIN7141195
发货至: 中国
Contact our Customer Service for availability and price in your country. Contact Info

Our Local Distributor

中国
北京 101111
No. 88 KeChuang 6th Street
Beijing Economic Technological Development Area
Room 801-803
4A Biotech Co.,Ltd.
Tel +86 (0512) 65829739 传真 +86 (010) 6788 5057

Quick Overview for Butyrylcholinesterase 抗体 (AA 1-141) (ABIN7141195)

抗原

See all Butyrylcholinesterase (BCHE) 抗体
Butyrylcholinesterase (BCHE)

适用

  • 75
  • 19
  • 17
  • 11
  • 2
  • 2
  • 2
  • 1
  • 1
  • 1
  • 1
  • 1

宿主

  • 64
  • 22

克隆类型

  • 60
  • 26
多克隆

标记

  • 40
  • 7
  • 6
  • 5
  • 2
  • 2
  • 2
  • 2
  • 2
  • 2
  • 2
  • 2
  • 2
  • 2
  • 2
  • 1
  • 1
  • 1
  • 1
  • 1
  • 1
This Butyrylcholinesterase antibody is un-conjugated

应用范围

  • 68
  • 26
  • 26
  • 14
  • 13
  • 10
  • 7
  • 6
  • 4
  • 3
  • 2
  • 2
  • 2
  • 1
  • 1
  • 1
ELISA, Immunohistochemistry (IHC)
  • 抗原表位

    • 15
    • 5
    • 4
    • 3
    • 2
    • 1
    • 1
    • 1
    • 1
    • 1
    • 1
    • 1
    • 1
    • 1
    • 1
    • 1
    • 1
    AA 1-141

    原理

    BCHE Antibody

    纯化方法

    Protein G purified

    纯度

    >95 %

    免疫原

    Recombinant Dog Cholinesterase protein (1-141AA)

    亚型

    IgG
  • 应用备注

    Optimal working dilution should be determined by the investigator.

    限制

    仅限研究用
  • 状态

    Liquid

    缓冲液

    Preservative: 0.03 % Proclin 300
    Constituents: 50 % Glycerol, 0.01M PBS, PH 7.4

    储存液

    ProClin

    注意事项

    This product contains ProClin: a POISONOUS AND HAZARDOUS SUBSTANCE which should be handled by trained staff only.

    储存条件

    -20 °C,-80 °C

    储存方法

    Upon receipt, store at -20°C or -80°C. Avoid repeated freeze.
  • 抗原

    Butyrylcholinesterase (BCHE)

    别名

    BCHE

    背景

    Background: Esterase with broad substrate specificity. Contributes to the inactivation of the neurotransmitter acetylcholine. Can degrade neurotoxic organophosphate esters

    Aliases: BCHECholinesterase antibody, EC 3.1.1.8 antibody, Acylcholine acylhydrolase antibody, Butyrylcholine esterase antibody, Choline esterase II antibody, Pseudocholinesterase antibody, Fragment antibody

    UniProt

    P32750

    途径

    Peptide Hormone Metabolism
You are here: