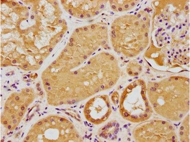
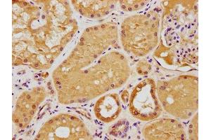
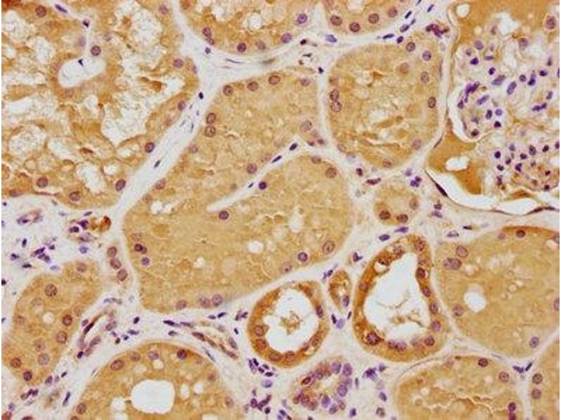
PIGU 抗体 (AA 28-47)
Our Local Distributor
北京 101111
Quick Overview for PIGU 抗体 (AA 28-47) (ABIN7140044)
抗原
See all PIGU 抗体适用
宿主
克隆类型
标记
应用范围
-
-
抗原表位
- AA 28-47
-
原理
- PIGU Antibody
-
纯化方法
- Antigen Affinity Purified
-
免疫原
- Peptide sequence from Human Phosphatidylinositol glycan anchor biosynthesis class U protein (28-47AA)
-
亚型
- IgG
-
-
-
-
应用备注
- Optimal working dilution should be determined by the investigator.
-
限制
- 仅限研究用
-
-
-
状态
- Liquid
-
缓冲液
-
Preservative: 0.03 % Proclin 300
Constituents: 50 % Glycerol, 0.01M PBS, pH 7.4 -
储存液
- ProClin
-
注意事项
- This product contains ProClin: a POISONOUS AND HAZARDOUS SUBSTANCE which should be handled by trained staff only.
-
储存条件
- -20 °C,-80 °C
-
储存方法
- Upon receipt, store at -20°C or -80°C. Avoid repeated freeze.
-
-
- PIGU (Phosphatidylinositol Glycan Anchor Biosynthesis, Class U (PIGU))
-
别名
- PIGU
-
背景
-
Background: Component of the GPI transamidase complex. May be involved in the recognition of either the GPI attachment signal or the lipid portion of GPI.
Aliases: 5430426F17Rik antibody, BC028278 antibody, Cdc91l1 antibody, Cell division cycle 91 like 1 protein antibody, Cell division cycle protein 91-like 1 antibody, GAB1 antibody, GPI transamidase component PIG-U antibody, GPI transamidase subunit antibody, Phosphatidylinositol glycan anchor biosynthesis class U antibody, Phosphatidylinositol glycan anchor biosynthesis class U protein antibody, Pigu antibody, PIGU_HUMAN antibody, Protein CDC91 like 1 antibody, Protein CDC91-like 1 antibody
-
UniProt
- Q9H490
-
途径
- Inositol Metabolic Process
抗原
-