电话:
+86 (0512) 65829739
传真:
+86 (010) 6788 5057
电子邮件:
orders@antibodies-online.cn

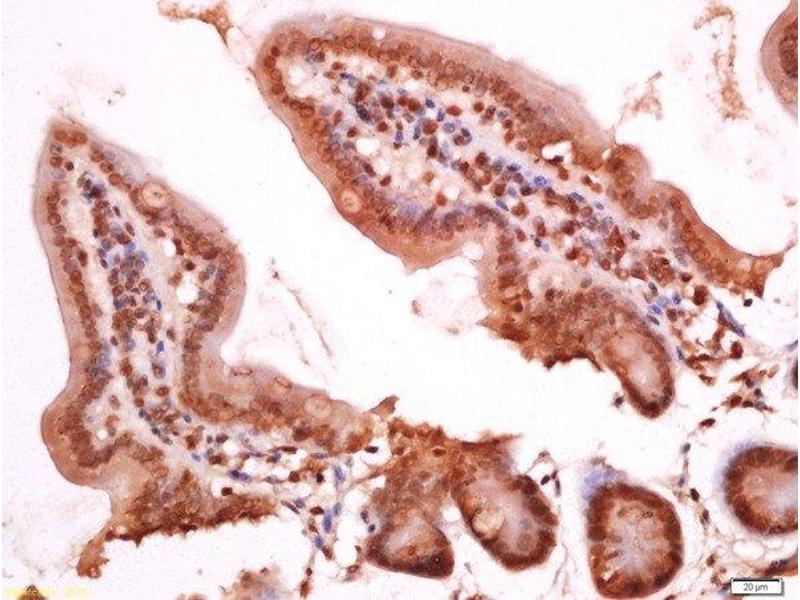
APOC3 抗体 (AA 41-80)

The 兔 多克隆 anti-APOC3 antibody is suitable to detect APOC3 in samples from 大鼠 和 小鼠. It has been validated for WB, ELISA, IHC (p), IF (cc), IF (p) 和 IHC (fro).
产品编号 ABIN708731
发货至: 中国
Contact our Customer Service for availability and price in your country. Contact Info

Our Local Distributor

中国
北京 101111
No. 88 KeChuang 6th Street
Beijing Economic Technological Development Area
Room 801-803
4A Biotech Co.,Ltd.
Tel +86 (0512) 65829739 传真 +86 (010) 6788 5057

Quick Overview for APOC3 抗体 (AA 41-80) (ABIN708731)

抗原

See all APOC3 抗体
APOC3 (Apolipoprotein C-III (APOC3))

适用

  • 58
  • 33
  • 28
大鼠, 小鼠

宿主

  • 66
  • 12
  • 6

克隆类型

  • 67
  • 17
多克隆

标记

  • 33
  • 10
  • 7
  • 5
  • 2
  • 2
  • 2
  • 2
  • 2
  • 2
  • 2
  • 2
  • 1
  • 1
  • 1
  • 1
  • 1
  • 1
  • 1
  • 1
  • 1
  • 1
  • 1
  • 1
  • 1
  • 1
This APOC3 antibody is un-conjugated

应用范围

  • 60
  • 30
  • 29
  • 13
  • 13
  • 12
  • 8
  • 7
  • 5
  • 4
  • 4
  • 3
  • 2
  • 2
  • 1
Western Blotting (WB), ELISA, Immunohistochemistry (Paraffin-embedded Sections) (IHC (p)), Immunofluorescence (Cultured Cells) (IF (cc)), Immunofluorescence (Paraffin-embedded Sections) (IF (p)), Immunohistochemistry (Frozen Sections) (IHC (fro))
  • 抗原表位

    • 14
    • 10
    • 6
    • 5
    • 2
    • 1
    • 1
    • 1
    • 1
    • 1
    AA 41-80

    交叉反应

    小鼠, 大鼠

    纯化方法

    Purified by Protein A.

    免疫原

    KLH conjugated synthetic peptide derived from rat Apolipoprotein CIII

    亚型

    IgG
  • 应用备注

    WB 1:300-5000
    ELISA 1:500-1000
    IHC-P 1:200-400
    IHC-F 1:100-500
    IF(IHC-P) 1:50-200
    IF(IHC-F) 1:50-200
    IF(ICC) 1:50-200

    限制

    仅限研究用
  • 状态

    Liquid

    浓度

    1 μg/μL

    缓冲液

    0.01M TBS( pH 7.4) with 1 % BSA, 0.02 % Proclin300 and 50 % Glycerol.

    储存液

    ProClin

    注意事项

    This product contains ProClin: a POISONOUS AND HAZARDOUS SUBSTANCE, which should be handled by trained staff only.

    储存条件

    4 °C,-20 °C

    储存方法

    Shipped at 4°C. Store at -20°C for one year. Avoid repeated freeze/thaw cycles.

    有效期

    12 months
  • 抗原

    APOC3 (Apolipoprotein C-III (APOC3))

    别名

    APOC3

    背景

    Synonyms: apo-CIII, apoC-III, Apolipoprotein C-III, Apolipoprotein C3, Apoc3

    Background: Component of triglyceride-rich very low density lipoproteins (VLDL) and high density lipoproteins (HDL) in plasma. Plays a multifaceted role in triglyceride homeostasis. Intracellularly, promotes hepatic very low density lipoprotein 1 (VLDL1) assembly and secretion, extracellularly, attenuates hydrolysis and clearance of triglyceride-rich lipoproteins (TRLs). Impairs the lipolysis of TRLs by inhibiting lipoprotein lipase and the hepatic uptake of TRLs by remnant receptors.

    基因ID

    11814

    UniProt

    P33622

    途径

    Carbohydrate Homeostasis, Lipid Metabolism
You are here: