电话:
+86 (0512) 65829739
传真:
+86 (010) 6788 5057
电子邮件:
orders@antibodies-online.cn

AHCY 抗体 (AA 25-125)

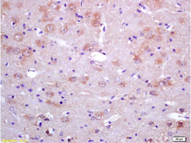
There is 1 publication for this product available. The 兔 多克隆 anti-AHCY antibody is suitable to detect AHCY in samples from 小鼠 和 大鼠. It has been validated for WB, ELISA, IHC (p), IF (cc), IF (p) 和 IHC (fro).
产品编号 ABIN708611
发货至: 中国
Contact our Customer Service for availability and price in your country. Contact Info

Our Local Distributor

中国
北京 101111
No. 88 KeChuang 6th Street
Beijing Economic Technological Development Area
Room 801-803
4A Biotech Co.,Ltd.
Tel +86 (0512) 65829739 传真 +86 (010) 6788 5057

Quick Overview for AHCY 抗体 (AA 25-125) (ABIN708611)

抗原

See all AHCY 抗体
AHCY (Adenosylhomocysteinase (AHCY))

适用

  • 53
  • 35
  • 29
  • 4
  • 3
  • 3
  • 3
  • 3
  • 3
  • 2
  • 2
  • 2
  • 1
  • 1
  • 1
  • 1
小鼠, 大鼠

宿主

  • 62
  • 7

克隆类型

  • 60
  • 9
多克隆

标记

  • 38
  • 4
  • 4
  • 3
  • 1
  • 1
  • 1
  • 1
  • 1
  • 1
  • 1
  • 1
  • 1
  • 1
  • 1
  • 1
  • 1
  • 1
  • 1
  • 1
  • 1
  • 1
  • 1
  • 1
This AHCY antibody is un-conjugated

应用范围

  • 51
  • 20
  • 15
  • 12
  • 12
  • 10
  • 8
  • 6
  • 6
  • 4
  • 3
  • 2
  • 2
Western Blotting (WB), ELISA, Immunohistochemistry (Paraffin-embedded Sections) (IHC (p)), Immunofluorescence (Cultured Cells) (IF (cc)), Immunofluorescence (Paraffin-embedded Sections) (IF (p)), Immunohistochemistry (Frozen Sections) (IHC (fro))
  • 抗原表位

    • 14
    • 13
    • 10
    • 6
    • 4
    • 3
    • 2
    • 2
    • 1
    • 1
    • 1
    • 1
    AA 25-125

    交叉反应

    小鼠, 大鼠

    预测反应

    Human,Dog,Cow,Pig,Horse,Chicken,Rabbit

    纯化方法

    Purified by Protein A.

    免疫原

    KLH conjugated synthetic peptide derived from human SAHH

    亚型

    IgG
  • 应用备注

    WB 1:300-5000
    ELISA 1:500-1000
    IHC-P 1:200-400
    IHC-F 1:100-500
    IF(IHC-P) 1:50-200
    IF(IHC-F) 1:50-200
    IF(ICC) 1:50-200

    限制

    仅限研究用
  • 状态

    Liquid

    浓度

    1 μg/μL

    缓冲液

    0.01M TBS( pH 7.4) with 1 % BSA, 0.02 % Proclin300 and 50 % Glycerol.

    储存液

    ProClin

    注意事项

    This product contains ProClin: a POISONOUS AND HAZARDOUS SUBSTANCE, which should be handled by trained staff only.

    储存条件

    4 °C,-20 °C

    储存方法

    Shipped at 4°C. Store at -20°C for one year. Avoid repeated freeze/thaw cycles.

    有效期

    12 months
  • Huang, Huan, Liu: "A comparative proteomic analysis reveals important proteins for the fertilization and early embryonic development of the oyster Crassostrea gigas." in: Proteomics, Vol. 17, Issue 1-2, (2016) (PubMed).

  • 抗原

    AHCY (Adenosylhomocysteinase (AHCY))

    别名

    Sahh

    背景

    Synonyms: SAHH, adoHcyase, Adenosylhomocysteinase, S-adenosyl-L-homocysteine hydrolase, AHCY

    Background: Adenosylhomocysteine is a competitive inhibitor of S-adenosyl-L-methionine-dependent methyl transferase reactions, therefore adenosylhomocysteinase may play a key role in the control of methylations via regulation of the intracellular concentration of adenosylhomocysteine.

    基因ID

    191

    UniProt

    P23526
You are here: