电话:
+86 (0512) 65829739
传真:
+86 (010) 6788 5057
电子邮件:
orders@antibodies-online.cn

THAP6 抗体

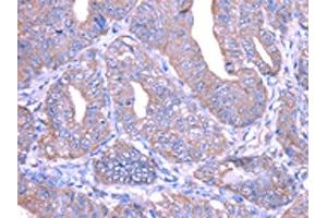
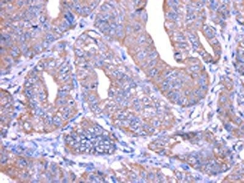
The 兔 多克隆 anti-THAP6 antibody is suitable to detect THAP6 in samples from 人. It has been validated for IHC 和 ELISA.
产品编号 ABIN7128033
发货至: 中国
Contact our Customer Service for availability and price in your country. Contact Info

Our Local Distributor

中国
北京 101111
No. 88 KeChuang 6th Street
Beijing Economic Technological Development Area
Room 801-803
4A Biotech Co.,Ltd.
Tel +86 (0512) 65829739 传真 +86 (010) 6788 5057

Quick Overview for THAP6 抗体 (ABIN7128033)

抗原

THAP6 (THAP Domain Containing 6 (THAP6))

适用

  • 15
  • 2
  • 2
  • 2
  • 1
  • 1

宿主

  • 11
  • 4

克隆类型

  • 12
  • 3
多克隆

标记

  • 8
  • 1
  • 1
  • 1
  • 1
  • 1
  • 1
  • 1
This THAP6 antibody is un-conjugated

应用范围

  • 8
  • 3
  • 2
  • 1
Immunohistochemistry (IHC), ELISA
  • 原理

    THAP6 Antibody

    纯化方法

    Antigen affinity purification

    免疫原

    Full length fusion protein

    亚型

    IgG
  • 应用备注

    Optimal working dilution should be determined by the investigator.

    限制

    仅限研究用
  • 状态

    Liquid

    缓冲液

     pH 7.4 PBS, 0.05 % Sodium azide, 40 % Glycerol

    储存液

    Sodium azide

    注意事项

    This product contains Sodium azide: a POISONOUS AND HAZARDOUS SUBSTANCE which should be handled by trained staff only.

    储存条件

    -20 °C,-80 °C

    储存方法

    Upon receipt, store at -20°C or -80°C. Avoid repeated freeze.
  • 抗原

    THAP6 (THAP Domain Containing 6 (THAP6))

    别名

    THAP6

    背景

    Background: THAP6 (THAP domain-containing protein 6) is a 222 amino acid protein that contains one THAP-type zinc finger and exists as two alternatively spliced isoforms. The gene that encodes THAP6 consists of approximately 36,528 bases and maps to human chromosome 4q21.1. Chromosome 4 represents approximately 6 % of the human genome and contains nearly 900 genes. Notably, the Huntingtin gene, which is found to encode an expanded glutamine tract in cases of Huntington's disease, is encoded by a gene that maps to chromosome 4. FGFR-3 is also encoded by a gene located on chromosome 4 and has been associated with thanatophoric dwarfism, achondroplasia, Muenke syndrome and bladder cancer. Chromosome 4 is also tied to Ellis-van Creveld syndrome, methylmalonic acidemia and polycystic kidney disease.

    Aliases: THAP6 antibody, THAP domain-containing protein 6 antibody

    UniProt

    Q8TBB0
You are here: