电话:
+86 (0512) 65829739
传真:
+86 (010) 6788 5057
电子邮件:
orders@antibodies-online.cn

Recombinant FBP1 抗体

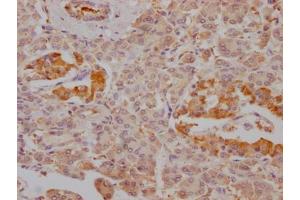
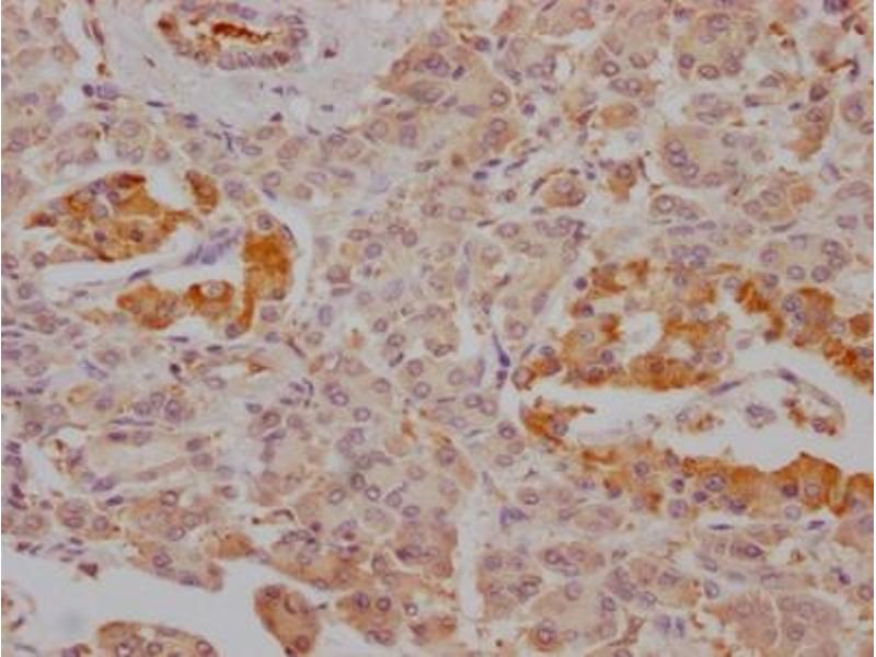
The 兔 单克隆 anti-FBP1 antibody (Clone 4G3) (ABIN7127485) specifically detects FBP1 in IHC 和 ELISA. The antibody is reactive with 人 samples.
产品编号 ABIN7127485
发货至: 中国
Contact our Customer Service for availability and price in your country. Contact Info

Our Local Distributor

中国
北京 101111
No. 88 KeChuang 6th Street
Beijing Economic Technological Development Area
Room 801-803
4A Biotech Co.,Ltd.
Tel +86 (0512) 65829739 传真 +86 (010) 6788 5057

Quick Overview for Recombinant FBP1 抗体 (ABIN7127485)

抗原

See all FBP1 抗体
FBP1 (Fructose-1,6-Bisphosphatase 1 (FBP1))

抗体类型

Recombinant Antibody

适用

  • 87
  • 52
  • 51
  • 2
  • 2
  • 2
  • 1
  • 1
  • 1
  • 1
  • 1

宿主

  • 88
  • 3
  • 2

克隆类型

  • 61
  • 32
单克隆

标记

  • 39
  • 6
  • 4
  • 4
  • 4
  • 4
  • 4
  • 4
  • 3
  • 3
  • 2
  • 2
  • 1
  • 1
  • 1
  • 1
  • 1
  • 1
  • 1
  • 1
  • 1
  • 1
  • 1
  • 1
  • 1
  • 1
This FBP1 antibody is un-conjugated

应用范围

  • 81
  • 31
  • 20
  • 16
  • 15
  • 13
  • 13
  • 13
  • 9
  • 4
  • 4
  • 3
  • 2
Immunohistochemistry (IHC), ELISA

克隆位点

4G3
  • 原理

    FBP1 Recombinant Monoclonal Antibody

    纯化方法

    Affinity-chromatography

    免疫原

    A synthesized peptide derived from human FBP1

    亚型

    IgG
  • 应用备注

    IHC:1:50-1:200

    限制

    仅限研究用
  • 状态

    Liquid

    缓冲液

    phosphate buffered saline, pH 7.4, 150 mM NaCl, 0.02 % sodium azide and 50 % glycerol.

    储存液

    Sodium azide

    注意事项

    This product contains Sodium azide: a POISONOUS AND HAZARDOUS SUBSTANCE which should be handled by trained staff only.

    储存条件

    -20 °C,-80 °C

    储存方法

    Upon receipt, store at -20°C or -80°C. Avoid repeated freeze.
  • 抗原

    FBP1 (Fructose-1,6-Bisphosphatase 1 (FBP1))

    别名

    FBP1

    背景

    Background: Catalyzes the hydrolysis of fructose 1,6-bisphosphate to fructose 6-phosphate in the presence of divalent cations, acting as a rate-limiting enzyme in gluconeogenesis. Plays a role in regulating glucose sensing and insulin secretion of pancreatic beta-cells. Appears to modulate glycerol gluconeogenesis in liver. Important regulator of appetite and adiposity, increased expression of the protein in liver after nutrient excess increases circulating satiety hormones and reduces appetite-stimulating neuropeptides and thus seems to provide a feedback mechanism to limit weight gain.

    Aliases: Fructose-1,6-bisphosphatase 1 (FBPase 1) (EC 3.1.3.11) (D-fructose-1,6-bisphosphate 1-phosphohydrolase 1) (Liver FBPase), FBP1, FBP

    UniProt

    P09467

    途径

    Cellular Glucan Metabolic Process, Regulation of Carbohydrate Metabolic Process, Dicarboxylic Acid Transport
You are here: