电话:
+86 (0512) 65829739
传真:
+86 (010) 6788 5057
电子邮件:
orders@antibodies-online.cn

Recombinant Dihydrofolate Reductase 抗体

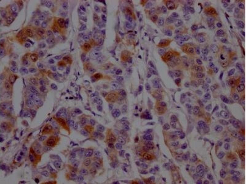
The 兔 单克隆 anti-Dihydrofolate Reductase antibody is suitable to detect Dihydrofolate Reductase in samples from 人. It has been validated for WB, IHC, ELISA 和 IP.
产品编号 ABIN7127454
发货至: 中国
Contact our Customer Service for availability and price in your country. Contact Info

Our Local Distributor

中国
北京 101111
No. 88 KeChuang 6th Street
Beijing Economic Technological Development Area
Room 801-803
4A Biotech Co.,Ltd.
Tel +86 (0512) 65829739 传真 +86 (010) 6788 5057

Quick Overview for Recombinant Dihydrofolate Reductase 抗体 (ABIN7127454)

抗原

See all Dihydrofolate Reductase (DHFR) 抗体
Dihydrofolate Reductase (DHFR)

抗体类型

Recombinant Antibody

适用

  • 63
  • 34
  • 30
  • 1
  • 1

宿主

  • 57
  • 9
  • 1

克隆类型

  • 44
  • 23
单克隆

标记

  • 35
  • 4
  • 3
  • 2
  • 2
  • 2
  • 2
  • 2
  • 2
  • 2
  • 1
  • 1
  • 1
  • 1
  • 1
  • 1
  • 1
  • 1
  • 1
  • 1
  • 1
This Dihydrofolate Reductase antibody is un-conjugated

应用范围

  • 43
  • 26
  • 15
  • 14
  • 11
  • 11
  • 9
  • 6
  • 2
  • 2
Western Blotting (WB), Immunohistochemistry (IHC), ELISA, Immunoprecipitation (IP)

克隆位点

9B2
  • 原理

    DHFR Recombinant Monoclonal Antibody

    交叉反应

    小鼠, 大鼠

    纯化方法

    Affinity-chromatography

    免疫原

    A synthesized peptide derived from human DHFR

    亚型

    IgG
  • 应用备注

    WB:1:500-1:5000, IHC:1:50-1:200, IP:1:200-1:1000

    限制

    仅限研究用
  • 状态

    Liquid

    缓冲液

    phosphate buffered saline, pH 7.4, 150 mM NaCl, 0.02 % sodium azide and 50 % glycerol.

    储存液

    Sodium azide

    注意事项

    This product contains Sodium azide: a POISONOUS AND HAZARDOUS SUBSTANCE which should be handled by trained staff only.

    储存条件

    -20 °C,-80 °C

    储存方法

    Upon receipt, store at -20°C or -80°C. Avoid repeated freeze.
  • 抗原

    Dihydrofolate Reductase (DHFR)

    别名

    DHFR

    背景

    Background: Key enzyme in folate metabolism. Contributes to the de novo mitochondrial thymidylate biosynthesis pathway. Catalyzes an essential reaction for de novo glycine and purine synthesis, and for DNA precursor synthesis. Binds its own mRNA and that of DHFR2.

    Aliases: Dihydrofolate reductase (EC 1.5.1.3), DHFR

    UniProt

    P00374

    途径

    Mitotic G1-G1/S Phases
You are here: