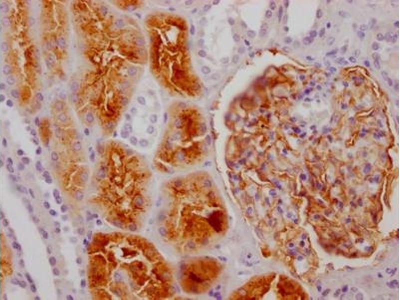
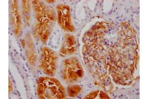
Recombinant ENPEP 抗体
Our Local Distributor
北京 101111
Quick Overview for Recombinant ENPEP 抗体 (ABIN7127337)
抗原
See all ENPEP 抗体抗体类型
适用
宿主
克隆类型
标记
应用范围
克隆位点
-
-
原理
- ENPEP Recombinant Monoclonal Antibody
-
纯化方法
- Affinity-chromatography
-
免疫原
- A synthesized peptide derived from human Aminopeptidase A / CD249
-
亚型
- IgG
-
-
-
-
应用备注
- IHC:1:50-1:200
-
限制
- 仅限研究用
-
-
-
状态
- Liquid
-
缓冲液
- phosphate buffered saline, pH 7.4, 150 mM NaCl, 0.02 % sodium azide and 50 % glycerol.
-
储存液
- Sodium azide
-
注意事项
- This product contains Sodium azide: a POISONOUS AND HAZARDOUS SUBSTANCE which should be handled by trained staff only.
-
储存条件
- -20 °C,-80 °C
-
储存方法
- Upon receipt, store at -20°C or -80°C. Avoid repeated freeze.
-
-
- ENPEP (Glutamyl Aminopeptidase (Aminopeptidase A) (ENPEP))
-
别名
- ENPEP
-
背景
-
Background: Appears to have a role in the catabolic pathway of the renin-angiotensin system. Probably plays a role in regulating growth and differentiation of early B-lineage cells.
Aliases: Glutamyl aminopeptidase (EAP) (EC 3.4.11.7) (Aminopeptidase A) (AP-A) (Differentiation antigen gp160) (CD antigen CD249), ENPEP
-
UniProt
- Q07075
-
途径
- Peptide Hormone Metabolism, Regulation of Systemic Arterial Blood Pressure by Hormones
抗原
-