电话:
+86 (0512) 65829739
传真:
+86 (010) 6788 5057
电子邮件:
orders@antibodies-online.cn

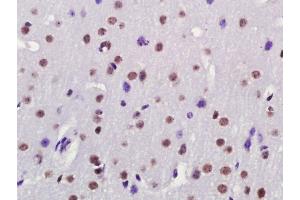
CRYAB 抗体 (AA 51-150)

The 兔 多克隆 anti-CRYAB antibody is suitable to detect CRYAB in samples from 大鼠 和 小鼠. It has been validated for ELISA, IHC (p), ICC, IF (cc), IF (p) 和 IHC (fro).
产品编号 ABIN707906
发货至: 中国
Contact our Customer Service for availability and price in your country. Contact Info

Our Local Distributor

中国
北京 101111
No. 88 KeChuang 6th Street
Beijing Economic Technological Development Area
Room 801-803
4A Biotech Co.,Ltd.
Tel +86 (0512) 65829739 传真 +86 (010) 6788 5057

Quick Overview for CRYAB 抗体 (AA 51-150) (ABIN707906)

抗原

See all CRYAB 抗体
CRYAB (Crystallin, alpha B (CRYAB))

适用

  • 160
  • 100
  • 85
  • 16
  • 10
  • 6
  • 6
  • 5
  • 5
  • 4
  • 4
  • 3
  • 2
大鼠, 小鼠

宿主

  • 157
  • 49
  • 2
  • 1

克隆类型

  • 138
  • 71
多克隆

标记

  • 96
  • 10
  • 9
  • 7
  • 4
  • 4
  • 4
  • 4
  • 4
  • 4
  • 4
  • 4
  • 4
  • 4
  • 4
  • 4
  • 3
  • 3
  • 3
  • 3
  • 3
  • 3
  • 3
  • 3
  • 2
  • 2
  • 2
  • 1
  • 1
  • 1
  • 1
  • 1
  • 1
  • 1
  • 1
  • 1
This CRYAB antibody is un-conjugated

应用范围

  • 155
  • 87
  • 70
  • 51
  • 51
  • 43
  • 41
  • 27
  • 21
  • 20
  • 11
  • 10
  • 1
  • 1
  • 1
ELISA, Immunohistochemistry (Paraffin-embedded Sections) (IHC (p)), Immunocytochemistry (ICC), Immunofluorescence (Cultured Cells) (IF (cc)), Immunofluorescence (Paraffin-embedded Sections) (IF (p)), Immunohistochemistry (Frozen Sections) (IHC (fro))
  • 抗原表位

    • 36
    • 19
    • 18
    • 14
    • 6
    • 5
    • 5
    • 4
    • 3
    • 2
    • 2
    • 2
    • 2
    • 2
    • 1
    • 1
    • 1
    • 1
    • 1
    • 1
    • 1
    • 1
    • 1
    • 1
    • 1
    • 1
    AA 51-150

    交叉反应

    小鼠, 大鼠

    预测反应

    Human,Dog,Cow,Pig,Horse

    纯化方法

    Purified by Protein A.

    免疫原

    KLH conjugated synthetic peptide derived from human Alpha B Crystallin.

    亚型

    IgG
  • 应用备注

    ELISA 1:500-1000
    IHC-P 1:200-400
    IHC-F 1:100-500
    IF(IHC-P) 1:50-200
    IF(IHC-F) 1:50-200
    IF(ICC) 1:50-200
    ICC 1:100-500

    限制

    仅限研究用
  • 状态

    Liquid

    浓度

    1 μg/μL

    缓冲液

    0.01M TBS( pH 7.4) with 1 % BSA, 0.02 % Proclin300 and 50 % Glycerol.

    储存液

    ProClin

    注意事项

    This product contains ProClin: a POISONOUS AND HAZARDOUS SUBSTANCE, which should be handled by trained staff only.

    储存条件

    4 °C,-20 °C

    储存方法

    Shipped at 4°C. Store at -20°C for one year. Avoid repeated freeze/thaw cycles.

    有效期

    12 months
  • 抗原

    CRYAB (Crystallin, alpha B (CRYAB))

    别名

    Alpha B Crystallin

    背景

    Synonyms: CRYAB, CRYA2, Alpha crystallin B chain, AACRYA, Alpha B crystalline, Alpha crystallin B chain, AlphaB crystalline, AlphaB-crystallin, Alpha-crystallin B chain, CRYAB_HUMAN, Crystallin alpha B, Crystallin alpha polypeptide 2, CTPP 2, CTPP2, Heat shock 20 kD like protein, Heat shock protein beta 5, Heat shock protein beta-5, HSPB5, NY REN 27 antigen, Renal carcinoma antigen NY REN 27, Renal carcinoma antigen NY-REN-27, Rosenthal fiber component.

    Background: Crystallins are separated into two classes: taxon-specific, or enzyme, and ubiquitous. The latter class constitutes the major proteins of vertebrate eye lens and maintains the transparency and refractive index of the lens. Since lens central fiber cells lose their nuclei during development, these crystallins are made and then retained throughout life, making them extremely stable proteins. Mammalian lens crystallins are divided into alpha, beta, and gamma families, beta and gamma crystallins are also considered as a superfamily. Alpha and beta families are further divided into acidic and basic groups. Seven protein regions exist in crystallins: four homologous motifs, a connecting peptide, and N- and C-terminal extensions. Alpha crystallins are composed of two gene products: alpha-A and alpha-B, for acidic and basic, respectively. Alpha crystallins can be induced by heat shock and are members of the small heat shock protein (sHSP also known as the HSP20) family. They act as molecular chaperones although they do not renature proteins and release them in the fashion of a true chaperone, instead they hold them in large soluble aggregates. Post-translational modifications decrease the ability to chaperone. These heterogeneous aggregates consist of 30-40 subunits, the alpha-A and alpha-B subunits have a 3:1 ratio, respectively. Two additional functions of alpha crystallins are an autokinase activity and participation in the intracellular architecture. Alpha-A and alpha-B gene products are differentially expressed, alpha-A is preferentially restricted to the lens and alpha-B is expressed widely in many tissues and organs. Elevated expression of alpha-B crystallin occurs in many neurological diseases, a missense mutation cosegregated in a family with a desmin-related myopathy. [provided by RefSeq, Jul 2008].

    基因ID

    1410
You are here: