电话:
+86 (0512) 65829739
传真:
+86 (010) 6788 5057
电子邮件:
orders@antibodies-online.cn

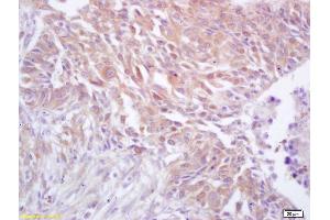
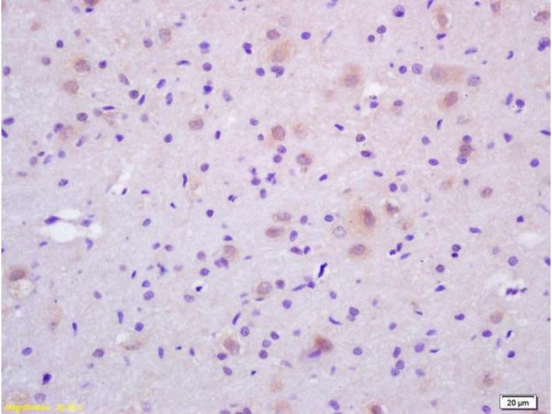
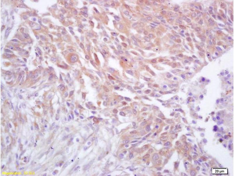
CDC37 抗体 (AA 291-378)

The 兔 多克隆 anti-CDC37 antibody is suitable to detect CDC37 in samples from 人, 小鼠 和 大鼠. It has been validated for ELISA, IHC (p), IF (cc), IF (p) 和 IHC (fro).
产品编号 ABIN706481
发货至: 中国
Contact our Customer Service for availability and price in your country. Contact Info

Our Local Distributor

中国
北京 101111
No. 88 KeChuang 6th Street
Beijing Economic Technological Development Area
Room 801-803
4A Biotech Co.,Ltd.
Tel +86 (0512) 65829739 传真 +86 (010) 6788 5057

Quick Overview for CDC37 抗体 (AA 291-378) (ABIN706481)

抗原

See all CDC37 抗体
CDC37 (Cell Division Cycle 37 Homolog (S. Cerevisiae) (CDC37))

适用

  • 129
  • 79
  • 75
  • 7
  • 2
  • 2
  • 1
  • 1
  • 1
  • 1
人, 小鼠, 大鼠

宿主

  • 124
  • 6

克隆类型

  • 78
  • 52
多克隆

标记

  • 52
  • 8
  • 6
  • 6
  • 6
  • 6
  • 6
  • 6
  • 5
  • 4
  • 3
  • 3
  • 2
  • 2
  • 1
  • 1
  • 1
  • 1
  • 1
  • 1
  • 1
  • 1
  • 1
  • 1
  • 1
  • 1
  • 1
  • 1
  • 1
This CDC37 antibody is un-conjugated

应用范围

  • 92
  • 58
  • 44
  • 35
  • 32
  • 17
  • 12
  • 12
  • 12
  • 8
  • 2
  • 2
ELISA, Immunohistochemistry (Paraffin-embedded Sections) (IHC (p)), Immunofluorescence (Cultured Cells) (IF (cc)), Immunofluorescence (Paraffin-embedded Sections) (IF (p)), Immunohistochemistry (Frozen Sections) (IHC (fro))
You are here: