电话:
+86 (0512) 65829739
传真:
+86 (010) 6788 5057
电子邮件:
orders@antibodies-online.cn

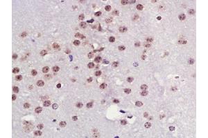
TPX2 抗体 (AA 551-650)

The 兔 多克隆 anti-TPX2 antibody is suitable to detect TPX2 in samples from 小鼠. It has been validated for WB, ELISA, IHC (p), IF (cc), IF (p) 和 IHC (fro).
产品编号 ABIN706406
发货至: 中国
Contact our Customer Service for availability and price in your country. Contact Info

Our Local Distributor

中国
北京 101111
No. 88 KeChuang 6th Street
Beijing Economic Technological Development Area
Room 801-803
4A Biotech Co.,Ltd.
Tel +86 (0512) 65829739 传真 +86 (010) 6788 5057

Quick Overview for TPX2 抗体 (AA 551-650) (ABIN706406)

抗原

See all TPX2 抗体
TPX2 (TPX2, Microtubule-Associated, Homolog (Xenopus Laevis) (TPX2))

适用

  • 75
  • 37
  • 9
  • 3
  • 2
  • 2
  • 2
  • 2
  • 1
  • 1
  • 1
  • 1
小鼠

宿主

  • 73
  • 16

克隆类型

  • 59
  • 30
多克隆

标记

  • 41
  • 6
  • 6
  • 5
  • 3
  • 3
  • 2
  • 2
  • 2
  • 2
  • 2
  • 2
  • 1
  • 1
  • 1
  • 1
  • 1
  • 1
  • 1
  • 1
  • 1
  • 1
  • 1
  • 1
  • 1
This TPX2 antibody is un-conjugated

应用范围

  • 79
  • 33
  • 25
  • 19
  • 12
  • 12
  • 11
  • 10
  • 8
  • 5
  • 3
  • 3
  • 1
  • 1
  • 1
Western Blotting (WB), ELISA, Immunohistochemistry (Paraffin-embedded Sections) (IHC (p)), Immunofluorescence (Cultured Cells) (IF (cc)), Immunofluorescence (Paraffin-embedded Sections) (IF (p)), Immunohistochemistry (Frozen Sections) (IHC (fro))
  • 抗原表位

    • 14
    • 8
    • 7
    • 7
    • 5
    • 2
    • 2
    • 2
    • 2
    • 2
    • 1
    • 1
    • 1
    • 1
    • 1
    • 1
    • 1
    • 1
    • 1
    AA 551-650

    交叉反应

    小鼠

    预测反应

    Human,Rat,Dog,Cow,Pig,Horse,Rabbit

    纯化方法

    Purified by Protein A.

    免疫原

    KLH conjugated synthetic peptide derived from human TPX2

    亚型

    IgG
  • 应用备注

    WB 1:300-5000
    ELISA 1:500-1000
    IHC-P 1:200-400
    IHC-F 1:100-500
    IF(IHC-P) 1:50-200
    IF(IHC-F) 1:50-200
    IF(ICC) 1:50-200

    限制

    仅限研究用
  • 状态

    Liquid

    浓度

    1 μg/μL

    缓冲液

    0.01M TBS( pH 7.4) with 1 % BSA, 0.02 % Proclin300 and 50 % Glycerol.

    储存液

    ProClin

    注意事项

    This product contains ProClin: a POISONOUS AND HAZARDOUS SUBSTANCE, which should be handled by trained staff only.

    储存条件

    4 °C,-20 °C

    储存方法

    Shipped at 4°C. Store at -20°C for one year. Avoid repeated freeze/thaw cycles.

    有效期

    12 months
  • 抗原

    TPX2 (TPX2, Microtubule-Associated, Homolog (Xenopus Laevis) (TPX2))

    别名

    TPX2

    背景

    Synonyms: C20ORF1, C20orf2, Chromosome 20 Open Reading Frame 1, Dferentially expressed in cancerous and non-cancerous lung cells 2, Dferentially expressed in cancerous and noncancerous lung cells 2, Dferentially expressed in lung cells 2, Dferentially expressed in lung cells, DIL 2, DIL-2, DIL2, FLS353, GD:C20orf1, HCA 519, HCA519, HCTP 4, HCTP4, Hepatocellular carcinoma associated antigen 519, Hepatocellular carcinoma-associated antigen 519, p100, Preferentially expressed in colorectal cancer, Protein FLS353, REPP 86, repp86, Restricted expression proliferation associated protein 100, Restricted expression proliferation-associated protein 100, Targeting protein for XKLP2, TPX 2, TPX2, TPX2 microtubule associated homolog, TPX2 microtubule associated protein homolog, TPX2_HUMAN.

    Background: TPX2 is essential for spindle pole and mitotic spindle formulation, playing a role in the S and G2 phases of mitosis. It is also critical for the function of protein kinase Aurora A. TPX2 autophosphorylates Aurora A, targeting it to the spindle apparatus and allowing it to function in eukaryotic meiotic and mitotic cell cycles. TPX2 has also been found to be highly expressed in cancer cells.

    基因ID

    22974
You are here: