电话:
+86 (0512) 65829739
传真:
+86 (010) 6788 5057
电子邮件:
orders@antibodies-online.cn

ZCCHC7 抗体

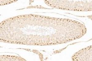
This 兔 多克隆 antibody specifically detects ZCCHC7 in WB, IHC 和 IF. It exhibits reactivity toward 人, 小鼠 和 大鼠.
产品编号 ABIN7076279
发货至: 中国
Contact our Customer Service for availability and price in your country. Contact Info

Our Local Distributor

中国
北京 101111
No. 88 KeChuang 6th Street
Beijing Economic Technological Development Area
Room 801-803
4A Biotech Co.,Ltd.
Tel +86 (0512) 65829739 传真 +86 (010) 6788 5057

Quick Overview for ZCCHC7 抗体 (ABIN7076279)

抗原

ZCCHC7 (Zinc Finger, CCHC Domain Containing 7 (ZCCHC7))

适用

  • 22
  • 1
  • 1
  • 1
  • 1
人, 小鼠, 大鼠

宿主

  • 20
  • 2

克隆类型

  • 22
多克隆

标记

  • 8
  • 1
  • 1
  • 1
  • 1
  • 1
  • 1
  • 1
  • 1
  • 1
  • 1
  • 1
  • 1
  • 1
  • 1
This ZCCHC7 antibody is un-conjugated

应用范围

  • 22
  • 13
  • 13
  • 3
  • 3
  • 3
  • 1
Western Blotting (WB), Immunohistochemistry (IHC), Immunofluorescence (IF)
You are here: