电话:
+86 (0512) 65829739
传真:
+86 (010) 6788 5057
电子邮件:
orders@antibodies-online.cn

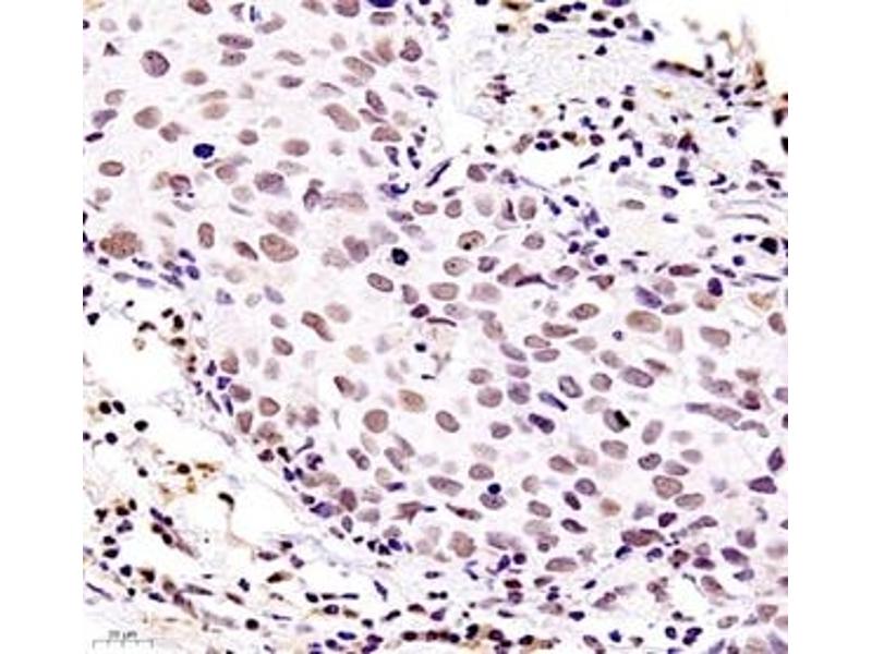
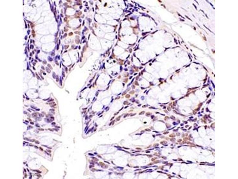
ZKSCAN4 抗体

The 兔 多克隆 anti-ZKSCAN4 antibody is suitable to detect ZKSCAN4 in samples from 人 和 小鼠. It has been validated for IHC 和 IF.
产品编号 ABIN7076265
发货至: 中国
Contact our Customer Service for availability and price in your country. Contact Info

Our Local Distributor

中国
北京 101111
No. 88 KeChuang 6th Street
Beijing Economic Technological Development Area
Room 801-803
4A Biotech Co.,Ltd.
Tel +86 (0512) 65829739 传真 +86 (010) 6788 5057

Quick Overview for ZKSCAN4 抗体 (ABIN7076265)

抗原

See all ZKSCAN4 抗体
ZKSCAN4 (Zinc Finger Protein 307 (ZKSCAN4))

适用

  • 52
  • 24
  • 16
  • 6
  • 5
  • 3
  • 2
  • 2
  • 2
人, 小鼠

宿主

  • 45
  • 7

克隆类型

  • 46
  • 5
多克隆

标记

  • 25
  • 4
  • 3
  • 3
  • 1
  • 1
  • 1
  • 1
  • 1
  • 1
  • 1
  • 1
  • 1
  • 1
  • 1
  • 1
  • 1
  • 1
  • 1
  • 1
  • 1
This ZKSCAN4 antibody is un-conjugated

应用范围

  • 28
  • 18
  • 11
  • 11
  • 5
  • 3
  • 2
  • 1
Immunohistochemistry (IHC), Immunofluorescence (IF)
You are here: