电话:
+86 (0512) 65829739
传真:
+86 (010) 6788 5057
电子邮件:
orders@antibodies-online.cn

WDR13 抗体

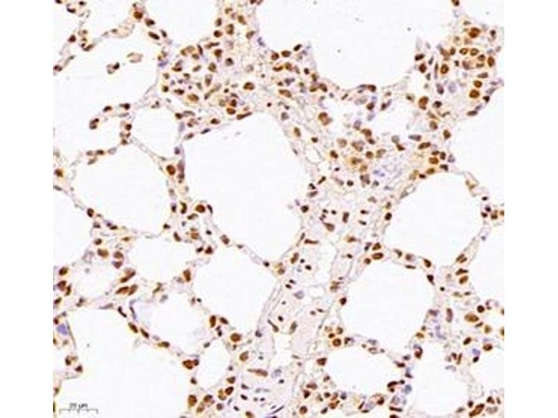
The 兔 多克隆 anti-WDR13 antibody (ABIN7076212) specifically detects WDR13 in WB, IHC 和 IF. The antibody is reactive with 小鼠 和 大鼠 samples.
产品编号 ABIN7076212
发货至: 中国
Contact our Customer Service for availability and price in your country. Contact Info

Our Local Distributor

中国
北京 101111
No. 88 KeChuang 6th Street
Beijing Economic Technological Development Area
Room 801-803
4A Biotech Co.,Ltd.
Tel +86 (0512) 65829739 传真 +86 (010) 6788 5057

Quick Overview for WDR13 抗体 (ABIN7076212)

抗原

See all WDR13 抗体
WDR13 (WD Repeat Domain 13 (WDR13))

适用

  • 15
  • 6
  • 5
  • 4
  • 2
  • 2
  • 2
  • 2
  • 1
  • 1
  • 1
小鼠, 大鼠

宿主

  • 12
  • 3

克隆类型

  • 13
  • 2
多克隆

标记

  • 12
  • 1
  • 1
  • 1
This WDR13 antibody is un-conjugated

应用范围

  • 11
  • 9
  • 1
  • 1
Western Blotting (WB), Immunohistochemistry (IHC), Immunofluorescence (IF)
  • 交叉反应

    大鼠

    纯化方法

    Affinity purification

    免疫原

    Recombinant protein corresponding to Mouse WDR13
  • 应用备注

    WB (M) 1:1000-1:2000, IHC/IF (M,R) 1:2500-1:8000

    限制

    仅限研究用
  • 状态

    Liquid

    缓冲液

    PBS, pH 7.4, 0.02 % sodium azide

    储存液

    Sodium azide

    注意事项

    This product contains Sodium azide: a POISONOUS AND HAZARDOUS SUBSTANCE which should be handled by trained staff only.

    储存条件

    -20 °C
  • 抗原

    WDR13 (WD Repeat Domain 13 (WDR13))

    别名

    WDR13

    背景

    This gene encodes a member of the WD repeat protein family. WD repeats are minimally conserved regions of approximately 40 amino acids typically bracketed by Gly-His and Trp-Asp (GH-WD), which may facilitate formation of heterotrimeric or multiprotein complexes. Members of this family are involved in a variety of cellular processes, including cell cycle progression, signal transduction, apoptosis, and gene regulation. A similar protein in mouse is thought to be a negative regulator of the pancreatic beta cell proliferation. Mice lacking this gene exhibit increased pancreatic islet mass and higher serum insulin levels, and are mildly obese.

    分子量

    54 kDa

    基因ID

    73447

    NCBI登录号

    NP_080413

    UniProt

    Q91V09
You are here: