USP34 抗体
Our Local Distributor
北京 101111
Quick Overview for USP34 抗体 (ABIN7076115)
抗原
See all USP34 抗体适用
宿主
克隆类型
标记
应用范围
-
-
交叉反应
- 大鼠
-
纯化方法
- Affinity purification
-
免疫原
- Recombinant protein corresponding to Mouse USP34
-
-
-
-
应用备注
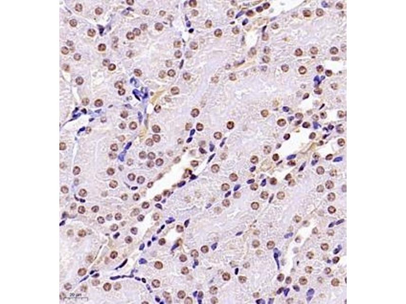
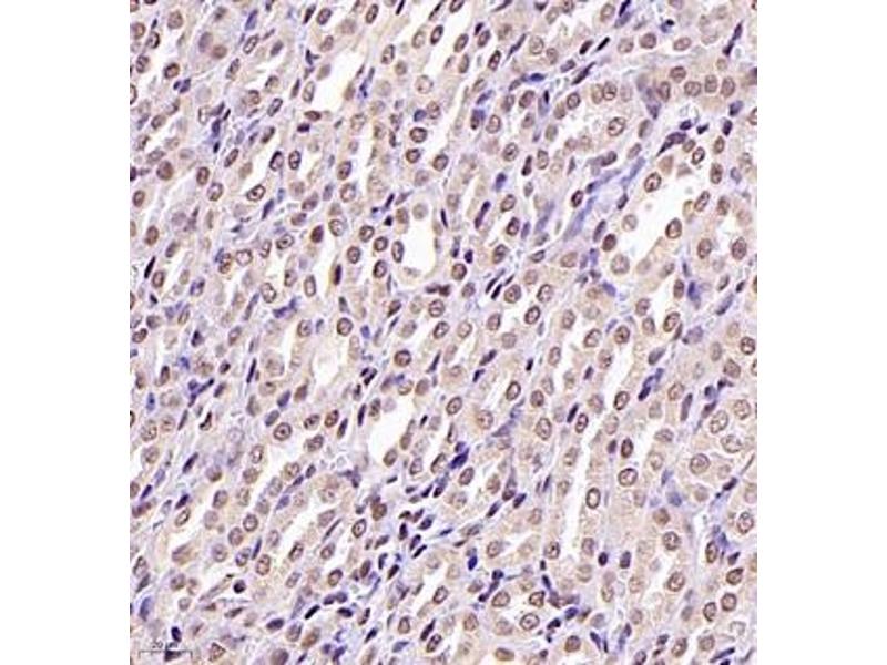
- IHC/IF (M,R) 1:700-1:1400/1:700-1:1400
-
限制
- 仅限研究用
-
-
-
状态
- Liquid
-
缓冲液
- PBS, pH 7.4, 0.02 % sodium azide
-
储存液
- Sodium azide
-
注意事项
- This product contains Sodium azide: a POISONOUS AND HAZARDOUS SUBSTANCE which should be handled by trained staff only.
-
储存条件
- -20 °C
-
-
- USP34 (Ubiquitin Specific Peptidase 34 (USP34))
-
别名
- USP34
-
背景
- USP34, also named as KIAA0570 and KIAA0729, belongs to the peptidase C19 family. USP34 recognizes and hydrolyzes the peptide bond at the C-terminal Gly of ubiquitin. It is involved in the processing of poly-ubiquitin precursors as well as that of ubiquitinated proteins. The antibody recognize all these 3 isoforms of USP34.
-
基因ID
- 17847
-
NCBI登录号
- NP_001177330
-
UniProt
- Q6ZQ93
抗原
-