电话:
+86 (0512) 65829739
传真:
+86 (010) 6788 5057
电子邮件:
orders@antibodies-online.cn

USP27X 抗体

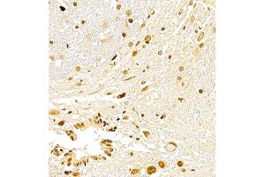
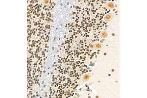
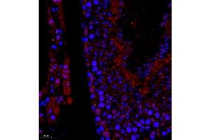
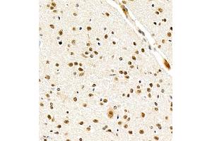
The 兔 多克隆 anti-USP27X antibody (ABIN7076113) specifically detects USP27X in IF 和 IHC. The antibody is reactive with 小鼠 和 大鼠 samples.
产品编号 ABIN7076113
发货至: 中国
Contact our Customer Service for availability and price in your country. Contact Info

Our Local Distributor

中国
北京 101111
No. 88 KeChuang 6th Street
Beijing Economic Technological Development Area
Room 801-803
4A Biotech Co.,Ltd.
Tel +86 (0512) 65829739 传真 +86 (010) 6788 5057

Quick Overview for USP27X 抗体 (ABIN7076113)

抗原

USP27X (Ubiquitin Specific Peptidase 27, X-Linked (USP27X))

适用

  • 12
  • 2
  • 2
  • 2
  • 2
  • 2
  • 2
  • 2
  • 2
  • 1
  • 1
  • 1
  • 1
  • 1
小鼠, 大鼠

宿主

  • 12

克隆类型

  • 12
多克隆

标记

  • 7
  • 1
  • 1
  • 1
  • 1
  • 1
This USP27X antibody is un-conjugated

应用范围

  • 12
  • 7
  • 1
Immunofluorescence (IF), Immunohistochemistry (IHC)
You are here: