SR140 抗体
Our Local Distributor
北京 101111
Quick Overview for SR140 抗体 (ABIN7076091)
抗原
适用
宿主
克隆类型
标记
应用范围
-
-
交叉反应
- 大鼠
-
纯化方法
- Affinity purification
-
免疫原
- Recombinant protein corresponding to Mouse SR140
-
-
-
-
应用备注
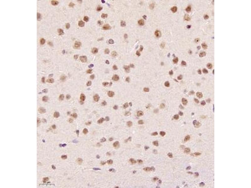
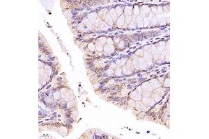
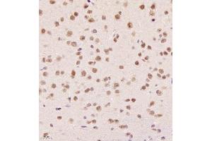
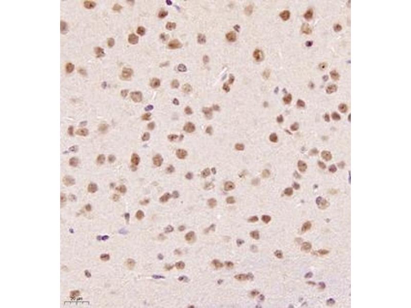
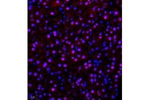
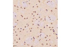
- IHC/IF (M,R) 1:1000-1:3000/1:600-1:1200
-
限制
- 仅限研究用
-
-
-
状态
- Liquid
-
缓冲液
- PBS, pH 7.4, 0.02 % sodium azide
-
储存液
- Sodium azide
-
注意事项
- This product contains Sodium azide: a POISONOUS AND HAZARDOUS SUBSTANCE which should be handled by trained staff only.
-
储存条件
- -20 °C
-
-
- SR140 (U2-Associated SR140 Protein (SR140))
-
别名
- SR140
-
背景
- U2SURP (U2 SnRNP Associated SURP Domain Containing) is a Protein Coding gene. Diseases associated with U2SURP include Retinitis Pigmentosa 67. Among its related pathways are Gene Expression and mRNA Splicing - Major Pathway. Gene Ontology (GO) annotations related to this gene include nucleic acid binding and RNA binding.
-
基因ID
- 67958
-
NCBI登录号
- NP_001108449
-
UniProt
- Q6NV83
抗原
-