电话:
+86 (0512) 65829739
传真:
+86 (010) 6788 5057
电子邮件:
orders@antibodies-online.cn

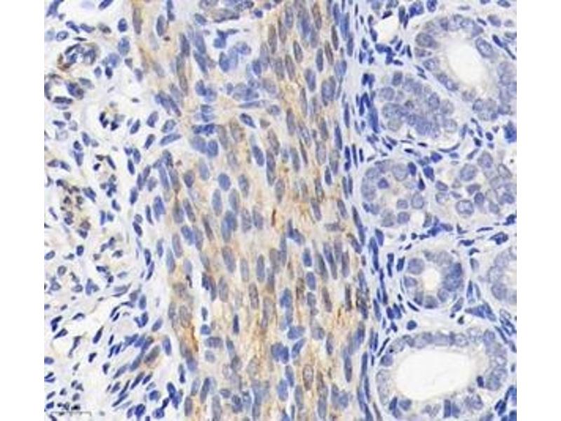
Tropomyosin 抗体

This 兔 多克隆 antibody specifically detects Tropomyosin in WB, IHC 和 IF. It exhibits reactivity toward 大鼠 和 小鼠.
产品编号 ABIN7076030
发货至: 中国
Contact our Customer Service for availability and price in your country. Contact Info

Our Local Distributor

中国
北京 101111
No. 88 KeChuang 6th Street
Beijing Economic Technological Development Area
Room 801-803
4A Biotech Co.,Ltd.
Tel +86 (0512) 65829739 传真 +86 (010) 6788 5057

Quick Overview for Tropomyosin 抗体 (ABIN7076030)

抗原

See all Tropomyosin (TPM1) 抗体
Tropomyosin (TPM1) (Tropomyosin 1 (Alpha) (TPM1))

适用

  • 57
  • 45
  • 43
  • 11
  • 5
  • 4
  • 4
  • 4
  • 3
  • 2
  • 2
  • 2
  • 1
  • 1
  • 1
  • 1
大鼠, 小鼠

宿主

  • 57
  • 12

克隆类型

  • 36
  • 33
多克隆

标记

  • 33
  • 6
  • 3
  • 3
  • 3
  • 3
  • 3
  • 3
  • 3
  • 3
  • 2
  • 2
  • 1
  • 1
This Tropomyosin antibody is un-conjugated

应用范围

  • 43
  • 22
  • 20
  • 17
  • 16
  • 12
  • 11
  • 5
  • 5
  • 1
Western Blotting (WB), Immunohistochemistry (IHC), Immunofluorescence (IF)
  • 交叉反应

    大鼠

    纯化方法

    Affinity purification

    免疫原

    KLH conjugated Synthetic peptide corresponding to Mouse Tropomyosin 1 (alpha)
  • 应用备注

    WB, (M,R) 1:2000-1:4000, IHC/IF (M,R) 1:800-1:1600

    限制

    仅限研究用
  • 状态

    Liquid

    缓冲液

    PBS, pH 7.4, 0.02 % sodium azide

    储存液

    Sodium azide

    注意事项

    This product contains Sodium azide: a POISONOUS AND HAZARDOUS SUBSTANCE which should be handled by trained staff only.

    储存条件

    -20 °C
  • 抗原

    Tropomyosin (TPM1) (Tropomyosin 1 (Alpha) (TPM1))

    别名

    Tropomyosin 1 (alpha)

    背景

    Binds to actin filaments in muscle and non-muscle cells. Plays a central role, in association with the troponin complex, in the calcium dependent regulation of vertebrate striated muscle contraction. Smooth muscle contraction is regulated by interaction with caldesmon. In non-muscle cells is implicated in stabilizing cytoskeleton actin filaments.

    分子量

    36 kDa

    基因ID

    22003

    UniProt

    P58771

    途径

    Regulation of Actin Filament Polymerization
You are here: