电话:
+86 (0512) 65829739
传真:
+86 (010) 6788 5057
电子邮件:
orders@antibodies-online.cn

TXNRD3NB 抗体

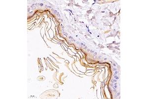
The 兔 多克隆 anti-TXNRD3NB antibody is suitable to detect TXNRD3NB in samples from 小鼠 和 大鼠. It has been validated for IF 和 IHC.
产品编号 ABIN7075887
发货至: 中国
Contact our Customer Service for availability and price in your country. Contact Info

Our Local Distributor

中国
北京 101111
No. 88 KeChuang 6th Street
Beijing Economic Technological Development Area
Room 801-803
4A Biotech Co.,Ltd.
Tel +86 (0512) 65829739 传真 +86 (010) 6788 5057

Quick Overview for TXNRD3NB 抗体 (ABIN7075887)

抗原

TXNRD3NB (Thioredoxin Reductase 3 Neighbor (TXNRD3NB))

适用

小鼠, 大鼠

宿主

  • 10

克隆类型

  • 10
多克隆

标记

  • 5
  • 1
  • 1
  • 1
  • 1
  • 1
This TXNRD3NB antibody is un-conjugated

应用范围

Immunofluorescence (IF), Immunohistochemistry (IHC)
You are here: