电话:
+86 (0512) 65829739
传真:
+86 (010) 6788 5057
电子邮件:
orders@antibodies-online.cn

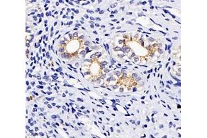
TSPAN1 抗体

The 兔 多克隆 anti-TSPAN1 antibody (ABIN7075867) specifically detects TSPAN1 in IHC 和 IF. The antibody is reactive with 人 和 大鼠 samples.
产品编号 ABIN7075867
发货至: 中国
Contact our Customer Service for availability and price in your country. Contact Info

Our Local Distributor

中国
北京 101111
No. 88 KeChuang 6th Street
Beijing Economic Technological Development Area
Room 801-803
4A Biotech Co.,Ltd.
Tel +86 (0512) 65829739 传真 +86 (010) 6788 5057

Quick Overview for TSPAN1 抗体 (ABIN7075867)

抗原

See all TSPAN1 抗体
TSPAN1 (Tetraspanin 1 (TSPAN1))

适用

  • 50
  • 9
  • 4
  • 1
  • 1
  • 1
  • 1
人, 大鼠

宿主

  • 46
  • 5

克隆类型

  • 45
  • 5
  • 1
多克隆

标记

  • 24
  • 4
  • 3
  • 3
  • 2
  • 1
  • 1
  • 1
  • 1
  • 1
  • 1
  • 1
  • 1
  • 1
  • 1
  • 1
  • 1
  • 1
  • 1
  • 1
This TSPAN1 antibody is un-conjugated

应用范围

  • 41
  • 19
  • 17
  • 13
  • 10
  • 7
  • 5
  • 1
  • 1
  • 1
Immunohistochemistry (IHC), Immunofluorescence (IF)
  • 交叉反应

    人, 大鼠

    纯化方法

    Affinity purification

    免疫原

    Recombinant protein corresponding to Mouse TSPAN1
  • 应用备注

    IHC/IF (H,R) 1:2000-1:4000

    限制

    仅限研究用
  • 状态

    Liquid

    缓冲液

    PBS, pH 7.4, 0.02 % sodium azide

    储存液

    Sodium azide

    注意事项

    This product contains Sodium azide: a POISONOUS AND HAZARDOUS SUBSTANCE which should be handled by trained staff only.

    储存条件

    -20 °C
  • 抗原

    TSPAN1 (Tetraspanin 1 (TSPAN1))

    别名

    TSPAN1

    背景

    TSPAN1 is a membrane protein of the tetraspanin superfamily, which are characterized by the presence of four conserved transmembrane regions. Tetraspanins have been involved in diverse processes such as cell activation and proliferation, adhesion and motility, differentiation, and cancer. Altered TSPAN1 expression has been associated with the progression in some neoplasms including hepatocellular carcinoma, colorectal, gastric and breast cancers.

    基因ID

    66805

    UniProt

    Q99J59
You are here: