SRP14 抗体
Our Local Distributor
北京 101111
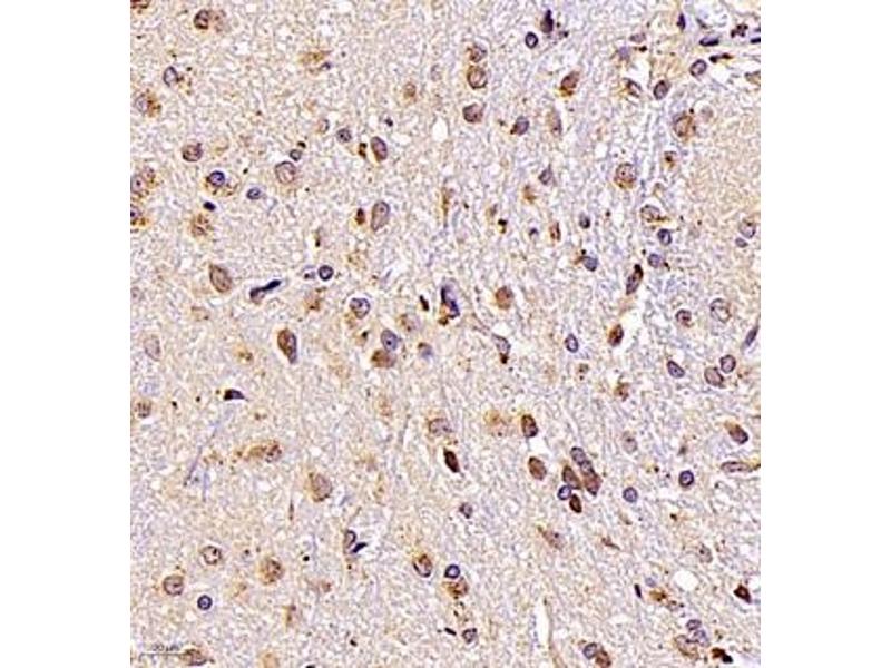
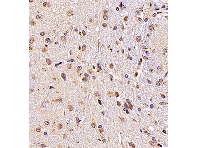
Quick Overview for SRP14 抗体 (ABIN7075596)
抗原
See all SRP14 抗体适用
宿主
克隆类型
标记
应用范围
-
-
交叉反应
- 人, 大鼠
-
纯化方法
- Affinity purification
-
免疫原
- Recombinant protein corresponding to Mouse SRP14
-
-
-
-
应用备注
- IHC/IF (H,M,R) 1:200-1:1200/1:300-1:600
-
限制
- 仅限研究用
-
-
-
状态
- Liquid
-
缓冲液
- PBS, pH 7.4, 0.02 % sodium azide
-
储存液
- Sodium azide
-
注意事项
- This product contains Sodium azide: a POISONOUS AND HAZARDOUS SUBSTANCE which should be handled by trained staff only.
-
储存条件
- -20 °C
-
-
- SRP14 (Signal Recognition Particle 14kDa (Homologous Alu RNA Binding Protein) (SRP14))
-
别名
- SRP14
-
背景
- SRP14, also named as 18 kDa Alu RNA-binding protein, is a 136 amino acid protein. Signal recognition particle consists of a 7S RNA molecule of 300 nucleotides and six protein subunits: SRP72, SRP68, SRP54, SRP19, SRP14 and SRP9. SRP14 protein is a component of signal-recognition-particle that has a crucial role in targeting secretory proteins to the rough endoplasmic reticulum membrane. SRP9 together with SRP14 and the Alu portion of the SRP RNA, constitutes the elongation arrest domain of SRP.
-
基因ID
- 20813
-
NCBI登录号
- NP_033299
-
UniProt
- P16254
抗原
-