电话:
+86 (0512) 65829739
传真:
+86 (010) 6788 5057
电子邮件:
orders@antibodies-online.cn

SRFBP1 抗体

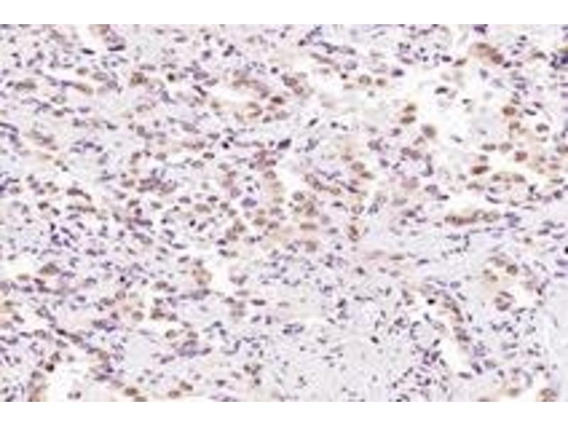
The 兔 多克隆 anti-SRFBP1 antibody (ABIN7075579) specifically detects SRFBP1 in IHC 和 IF. The antibody is reactive with 人, 小鼠 和 大鼠 samples.
产品编号 ABIN7075579
发货至: 中国
Contact our Customer Service for availability and price in your country. Contact Info

Our Local Distributor

中国
北京 101111
No. 88 KeChuang 6th Street
Beijing Economic Technological Development Area
Room 801-803
4A Biotech Co.,Ltd.
Tel +86 (0512) 65829739 传真 +86 (010) 6788 5057

Quick Overview for SRFBP1 抗体 (ABIN7075579)

抗原

See all SRFBP1 抗体
SRFBP1 (serum Response Factor Binding Protein 1 (SRFBP1))

适用

  • 32
  • 27
  • 23
  • 6
  • 6
  • 5
  • 4
  • 4
  • 2
  • 2
  • 2
  • 2
  • 2
  • 1
人, 小鼠, 大鼠

宿主

  • 34

克隆类型

  • 34
多克隆

标记

  • 16
  • 3
  • 2
  • 2
  • 1
  • 1
  • 1
  • 1
  • 1
  • 1
  • 1
  • 1
  • 1
  • 1
  • 1
This SRFBP1 antibody is un-conjugated

应用范围

  • 29
  • 13
  • 6
  • 4
  • 3
  • 3
  • 2
Immunohistochemistry (IHC), Immunofluorescence (IF)
You are here: