SCPEP1 抗体
Our Local Distributor
北京 101111
Quick Overview for SCPEP1 抗体 (ABIN7075546)
抗原
See all SCPEP1 抗体适用
宿主
克隆类型
标记
应用范围
-
-
交叉反应
- 大鼠
-
纯化方法
- Affinity purification
-
免疫原
- Recombinant protein corresponding to Mouse RISC
-
-
-
-
应用备注
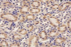
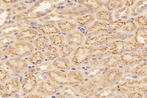
- IHC/IF (M,R) 1:2000-1:4000
-
限制
- 仅限研究用
-
-
-
状态
- Liquid
-
缓冲液
- PBS, pH 7.4, 0.02 % sodium azide
-
储存液
- Sodium azide
-
注意事项
- This product contains Sodium azide: a POISONOUS AND HAZARDOUS SUBSTANCE which should be handled by trained staff only.
-
储存条件
- -20 °C
-
-
- SCPEP1 (serine Carboxypeptidase 1 (SCPEP1))
-
别名
- RISC
-
背景
- Vascular smooth muscle activation is a salient feature of several pathological conditions including atherosclerosis, hypertension, vein graft failure, restenosis, and transplant arteriopathy. Several new genes whose proteins could lead to such biological effects have been identified. One such protein is RISC. Tissue expression pattern of Retinoid-inducible serine carboxypeptidase (RISC) in human revealed that it was highly expressed in kidney and heart.
-
基因ID
- 74617
-
NCBI登录号
- NP_083299
-
UniProt
- Q920A5
抗原
-