电话:
+86 (0512) 65829739
传真:
+86 (010) 6788 5057
电子邮件:
orders@antibodies-online.cn

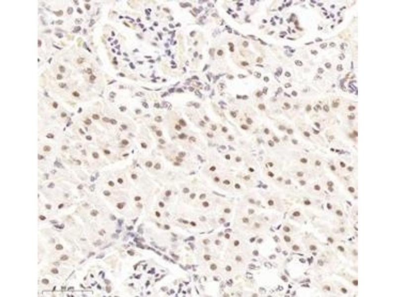
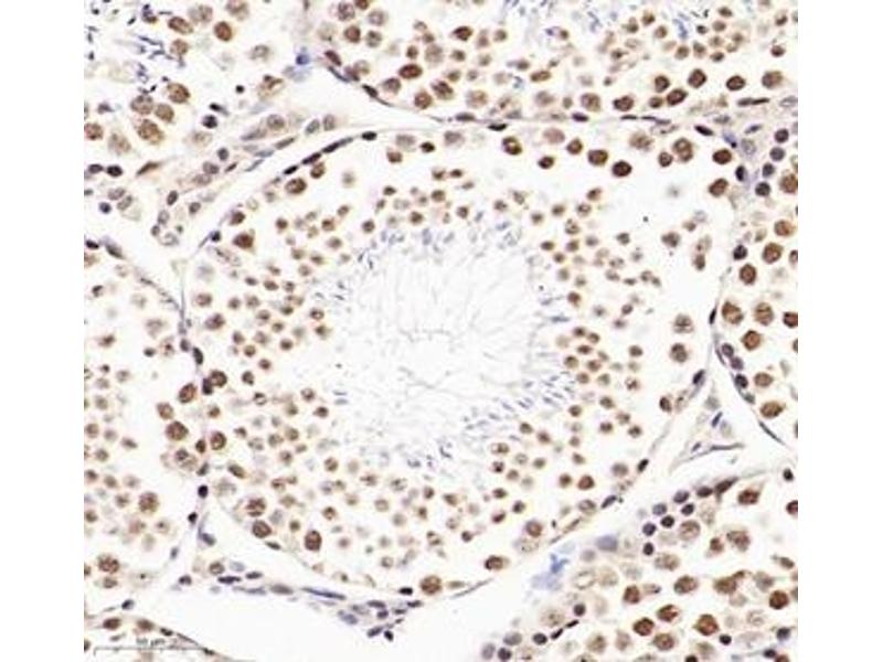
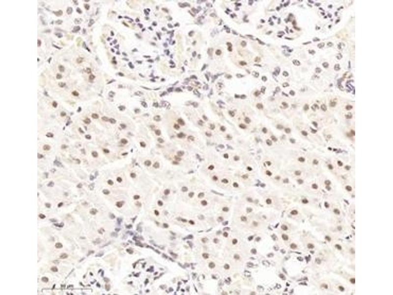
RBM8A 抗体

This 兔 多克隆 antibody specifically detects RBM8A in WB, IHC 和 IF. It exhibits reactivity toward 人, 大鼠 和 小鼠.
产品编号 ABIN7075478
发货至: 中国
Contact our Customer Service for availability and price in your country. Contact Info

Our Local Distributor

中国
北京 101111
No. 88 KeChuang 6th Street
Beijing Economic Technological Development Area
Room 801-803
4A Biotech Co.,Ltd.
Tel +86 (0512) 65829739 传真 +86 (010) 6788 5057

Quick Overview for RBM8A 抗体 (ABIN7075478)

抗原

See all RBM8A 抗体
RBM8A (RNA Binding Motif Protein 8A (RBM8A))

适用

  • 48
  • 34
  • 31
  • 6
  • 5
  • 5
  • 4
  • 4
  • 3
  • 3
  • 3
  • 1
  • 1
人, 大鼠, 小鼠

宿主

  • 48
  • 5

克隆类型

  • 37
  • 17
多克隆

标记

  • 27
  • 4
  • 3
  • 3
  • 3
  • 3
  • 3
  • 3
  • 2
  • 1
  • 1
  • 1
This RBM8A antibody is un-conjugated

应用范围

  • 35
  • 20
  • 13
  • 13
  • 13
  • 13
  • 11
  • 5
Western Blotting (WB), Immunohistochemistry (IHC), Immunofluorescence (IF)
  • 交叉反应

    人, 大鼠

    纯化方法

    Affinity purification

    免疫原

    KLH conjugated Synthetic peptide corresponding to Mouse Y14
  • 应用备注

    WB (H,M,R) 1:500-1:1000, IHC/IF (H,M,R) 1:300-1:900/1:300-1:600

    限制

    仅限研究用
  • 状态

    Liquid

    缓冲液

    PBS, pH 7.4, 0.02 % sodium azide

    储存液

    Sodium azide

    注意事项

    This product contains Sodium azide: a POISONOUS AND HAZARDOUS SUBSTANCE which should be handled by trained staff only.

    储存条件

    -20 °C
  • 抗原

    RBM8A (RNA Binding Motif Protein 8A (RBM8A))

    别名

    Y14

    背景

    This gene encodes a protein with a conserved RNA-binding motif. The protein is found predominantly in the nucleus, although it is also present in the cytoplasm. It is preferentially associated with mRNAs produced by splicing, including both nuclear mRNAs and newly exported cytoplasmic mRNAs. It is thought that the protein remains associated with spliced mRNAs as a tag to indicate where introns had been present, thus coupling pre- and post-mRNA splicing events.

    分子量

    20 kDa

    基因ID

    60365

    NCBI登录号

    NP_001095877

    UniProt

    Q9CWZ3
You are here: