RRAGB 抗体
Our Local Distributor
北京 101111
Quick Overview for RRAGB 抗体 (ABIN7075379)
抗原
See all RRAGB 抗体适用
宿主
克隆类型
标记
应用范围
-
-
交叉反应
- 人, 大鼠
-
纯化方法
- Affinity purification
-
免疫原
- Recombinant protein corresponding to Mouse RRAGB
-
-
-
-
应用备注
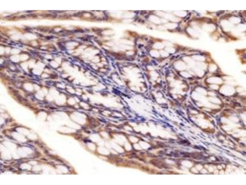
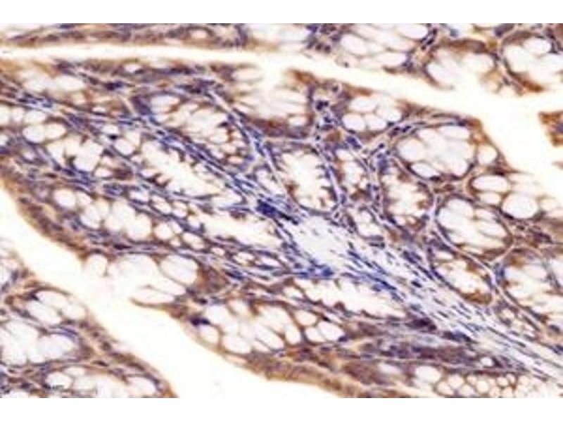
- WB (H,M,R) 1:500-1:1000, IHC/IF (M,R) 1:2000-1:4000
-
限制
- 仅限研究用
-
-
-
状态
- Liquid
-
缓冲液
- PBS, pH 7.4, 0.02 % sodium azide
-
储存液
- Sodium azide
-
注意事项
- This product contains Sodium azide: a POISONOUS AND HAZARDOUS SUBSTANCE which should be handled by trained staff only.
-
储存条件
- -20 °C
-
-
- RRAGB (Ras-Related GTP Binding B (RRAGB))
-
别名
- RRAGB
-
背景
- Guanine nucleotide-binding protein that plays a crucial role in the cellular response to amino acid availability through regulation of the mTORC1 signaling cascade. Forms heterodimeric Rag complexes with RRAGC or RRAGD and cycles between an inactive GDP-bound and an active GTP-bound form. In its active form participates in the relocalization of mTORC1 to the lysosomes and its subsequent activation by the GTPase RHEB. Involved in the RCC1/Ran-GTPase pathway.
-
分子量
- 43 kDa
-
基因ID
- 245670
-
NCBI登录号
- NP_001004154
-
UniProt
- Q6NTA4
抗原
-