RAB21 抗体
Our Local Distributor
北京 101111
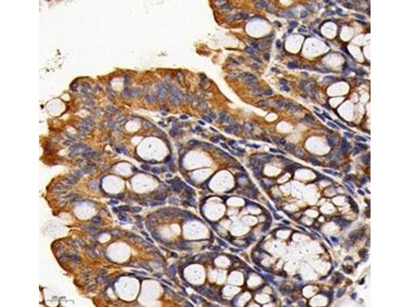
Quick Overview for RAB21 抗体 (ABIN7075341)
抗原
See all RAB21 抗体适用
宿主
克隆类型
标记
应用范围
-
-
交叉反应
- 人, 大鼠
-
纯化方法
- Affinity purification
-
免疫原
- Recombinantproteincorresponding to Mouse RAB21
-
-
-
-
应用备注
- WB (H,M,R) 1:500-1:1000, IHC/IF (H,M) 1:500-1:1500
-
限制
- 仅限研究用
-
-
-
状态
- Liquid
-
缓冲液
- PBS, pH 7.4, 0.02 % sodium azide
-
储存液
- Sodium azide
-
注意事项
- This product contains Sodium azide: a POISONOUS AND HAZARDOUS SUBSTANCE which should be handled by trained staff only.
-
储存条件
- -20 °C
-
-
- RAB21 (RAB21, Member RAS Oncogene Family (RAB21))
-
别名
- RAB21
-
背景
- RAB21 is a member of a subfamily of small GTP-binding protein genes of the Ras superfamily that plays an important role in intracellular vesicular targeting. In non-polarized Caco-2 cells, RAB21 showed a general endoplasmic reticulum (ER)-like localization, while in polarized cells, RAB21 localized to apical vesicles. RAB21 has been shown to associate with integrin subunits and to be important for receptor entry into cells via RAB5/RAB21 endosomes.
-
分子量
- 24 kDa
-
基因ID
- 216344
-
NCBI登录号
- NP_077774
-
UniProt
- P35282
抗原
-