电话:
+86 (0512) 65829739
传真:
+86 (010) 6788 5057
电子邮件:
orders@antibodies-online.cn

PFDN4 抗体

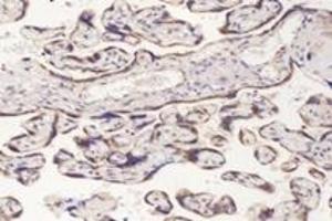
The 兔 多克隆 anti-PFDN4 antibody (ABIN7075171) specifically detects PFDN4 in IF 和 IHC. The antibody is reactive with 人, 小鼠 和 大鼠 samples.
产品编号 ABIN7075171
发货至: 中国
Contact our Customer Service for availability and price in your country. Contact Info

Our Local Distributor

中国
北京 101111
No. 88 KeChuang 6th Street
Beijing Economic Technological Development Area
Room 801-803
4A Biotech Co.,Ltd.
Tel +86 (0512) 65829739 传真 +86 (010) 6788 5057

Quick Overview for PFDN4 抗体 (ABIN7075171)

抗原

See all PFDN4 抗体
PFDN4 (Prefoldin Subunit 4 (PFDN4))

适用

  • 21
  • 4
  • 3
  • 2
  • 2
  • 2
  • 2
  • 2
  • 2
  • 1
  • 1
  • 1
  • 1
  • 1
人, 小鼠, 大鼠

宿主

  • 19
  • 2

克隆类型

  • 20
  • 1
多克隆

标记

  • 13
  • 2
  • 2
  • 2
  • 1
  • 1
This PFDN4 antibody is un-conjugated

应用范围

  • 17
  • 13
  • 2
Immunofluorescence (IF), Immunohistochemistry (IHC)
  • 交叉反应

    人, 大鼠

    纯化方法

    Affinity purification

    免疫原

    Recombinant protein corresponding to Mouse PFDN4
  • 应用备注

    IHC/IF (H,M,R) 1:2100-1:4200

    限制

    仅限研究用
  • 状态

    Liquid

    缓冲液

    PBS, pH 7.4, 0.02 % sodium azide

    储存液

    Sodium azide

    注意事项

    This product contains Sodium azide: a POISONOUS AND HAZARDOUS SUBSTANCE which should be handled by trained staff only.

    储存条件

    -20 °C
  • 抗原

    PFDN4 (Prefoldin Subunit 4 (PFDN4))

    别名

    PFDN4

    背景

    The human PFDN4, prefoldin 4, is a subunit of the heterohexameric chaperone protein and belongs to the prefoldin family. The encoded protein is one of six subunits of prefoldin, a molecular chaperone complex that binds and stabilizes newly synthesized polypeptides, thereby allowing them to fold correctly. Previous reports have shown that PFDN4 is upregulated in breast cancer cell lines and tumor tissues . PFDN4 expression may be a prognostic factor in colorectal cancer .

    UniProt

    E9Q6U4

    途径

    Unfolded Protein Response
You are here: