电话:
+86 (0512) 65829739
传真:
+86 (010) 6788 5057
电子邮件:
orders@antibodies-online.cn

PLS1 抗体

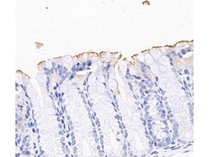
The 兔 多克隆 anti-PLS1 antibody (ABIN7075096) specifically detects PLS1 in WB, IHC 和 IF. The antibody is reactive with 小鼠 和 大鼠 samples.
产品编号 ABIN7075096
发货至: 中国
Contact our Customer Service for availability and price in your country. Contact Info

Our Local Distributor

中国
北京 101111
No. 88 KeChuang 6th Street
Beijing Economic Technological Development Area
Room 801-803
4A Biotech Co.,Ltd.
Tel +86 (0512) 65829739 传真 +86 (010) 6788 5057

Quick Overview for PLS1 抗体 (ABIN7075096)

抗原

See all PLS1 抗体
PLS1 (Plastin 1 (PLS1))

适用

  • 25
  • 7
  • 7
  • 2
  • 2
  • 2
  • 2
  • 2
  • 1
  • 1
  • 1
小鼠, 大鼠

宿主

  • 22
  • 3

克隆类型

  • 22
  • 3
多克隆

标记

  • 17
  • 2
  • 2
  • 2
  • 1
  • 1
This PLS1 antibody is un-conjugated

应用范围

  • 21
  • 16
  • 15
  • 2
  • 2
  • 2
  • 1
  • 1
  • 1
Western Blotting (WB), Immunohistochemistry (IHC), Immunofluorescence (IF)
  • 交叉反应

    大鼠

    纯化方法

    Affinity purification

    免疫原

    Recombinant protein corresponding to Mouse PLS1
  • 应用备注

    WB (M,R) 1:1000-1:2000, IHC/IF (M) 1:1000-1:2000

    限制

    仅限研究用
  • 状态

    Liquid

    缓冲液

    PBS, pH 7.4, 0.02 % sodium azide

    储存液

    Sodium azide

    注意事项

    This product contains Sodium azide: a POISONOUS AND HAZARDOUS SUBSTANCE which should be handled by trained staff only.

    储存条件

    -20 °C
  • 抗原

    PLS1 (Plastin 1 (PLS1))

    别名

    PLS1

    背景

    PLS1, also named as I-plastin and Plastin-1, is an actin-bundling protein in the absence of calcium. It is intestine-specific plastin. This antibody is specific to PLS1. This antibody is specific to PLS1. It has no cross reaction to PLS3.

    分子量

    70 kDa

    基因ID

    102502

    UniProt

    Q3V0K9
You are here: