电话:
+86 (0512) 65829739
传真:
+86 (010) 6788 5057
电子邮件:
orders@antibodies-online.cn

Peripherin 抗体

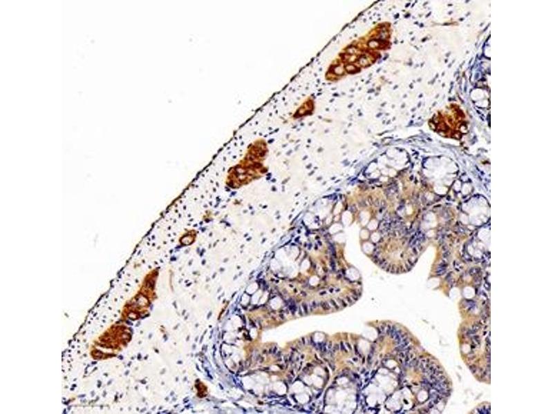
The 兔 多克隆 anti-Peripherin antibody (ABIN7075012) specifically detects Peripherin in WB, IHC 和 IF. The antibody is reactive with 大鼠 和 小鼠 samples.
产品编号 ABIN7075012
发货至: 中国
Contact our Customer Service for availability and price in your country. Contact Info

Our Local Distributor

中国
北京 101111
No. 88 KeChuang 6th Street
Beijing Economic Technological Development Area
Room 801-803
4A Biotech Co.,Ltd.
Tel +86 (0512) 65829739 传真 +86 (010) 6788 5057

Quick Overview for Peripherin 抗体 (ABIN7075012)

抗原

See all Peripherin (PRPH) 抗体
Peripherin (PRPH)

适用

  • 49
  • 25
  • 12
  • 7
  • 6
  • 5
  • 4
  • 4
  • 4
  • 3
  • 2
  • 2
  • 2
  • 1
  • 1
  • 1
大鼠, 小鼠

宿主

  • 34
  • 18
  • 9
  • 1
  • 1
  • 1

克隆类型

  • 46
  • 18
多克隆

标记

  • 54
  • 1
  • 1
  • 1
  • 1
  • 1
  • 1
  • 1
  • 1
  • 1
  • 1
This Peripherin antibody is un-conjugated

应用范围

  • 54
  • 31
  • 20
  • 12
  • 12
  • 10
  • 3
  • 2
  • 2
  • 2
  • 2
Western Blotting (WB), Immunohistochemistry (IHC), Immunofluorescence (IF)
  • 交叉反应

    大鼠

    纯化方法

    Affinity purification

    免疫原

    Recombinant protein corresponding to Mouse Peripherin
  • 应用备注

    WB (M,R) 1:500-1:1000, IHC/IF (M,R) 1:800-1:3000/1:800-1:1600

    限制

    仅限研究用
  • 状态

    Liquid

    缓冲液

    PBS, pH 7.4, 0.02 % sodium azide

    储存液

    Sodium azide

    注意事项

    This product contains Sodium azide: a POISONOUS AND HAZARDOUS SUBSTANCE which should be handled by trained staff only.

    储存条件

    -20 °C
  • 抗原

    Peripherin (PRPH)

    别名

    Peripherin

    背景

    Peripherin is a 57kD type III intermediate filament that is a specific marker for peripheral neurons, including enteric ganglion cells. Peripherin is expressed in the developing peripheral nervous system and is highly enriched in neuronal derivatives of the neural crest. Peripherin offers an advantage over other neural markers, such as S100 and NSE in that it does not stain chrmaffin cell types.

    分子量

    54 kDa

    UniProt

    P15331
You are here: