电话:
+86 (0512) 65829739
传真:
+86 (010) 6788 5057
电子邮件:
orders@antibodies-online.cn

p46 抗体

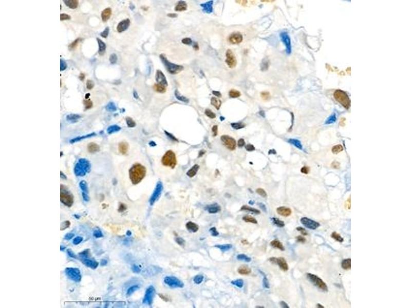
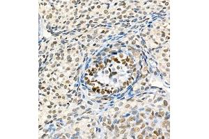
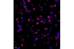
The 兔 多克隆 anti-p46 antibody (ABIN7074970) specifically detects p46 in IF 和 IHC. The antibody is reactive with 小鼠 和 大鼠 samples.
产品编号 ABIN7074970
发货至: 中国
Contact our Customer Service for availability and price in your country. Contact Info

Our Local Distributor

中国
北京 101111
No. 88 KeChuang 6th Street
Beijing Economic Technological Development Area
Room 801-803
4A Biotech Co.,Ltd.
Tel +86 (0512) 65829739 传真 +86 (010) 6788 5057

Quick Overview for p46 抗体 (ABIN7074970)

抗原

p46

适用

小鼠, 大鼠

宿主

  • 9
  • 2

克隆类型

  • 9
  • 2
多克隆

标记

  • 4
  • 3
  • 2
  • 2
非结合性

应用范围

  • 9
  • 1
  • 1
Immunofluorescence (IF), Immunohistochemistry (IHC)
  • 交叉反应

    大鼠

    纯化方法

    Affinity purification

    免疫原

    Recombinant protein corresponding to Mouse p46
  • 应用备注

    IHC/IF (M,R) 1:900-1:1800/1:500-1:2000

    限制

    仅限研究用
  • 状态

    Liquid

    缓冲液

    PBS, pH 7.4, 0.02 % sodium azide

    储存液

    Sodium azide

    注意事项

    This product contains Sodium azide: a POISONOUS AND HAZARDOUS SUBSTANCE which should be handled by trained staff only.

    储存条件

    -20 °C
  • 抗原

    p46

    背景

    This protein Is involved in regulation of translation. Is preferentially associated with CBC-bound spliced mRNA-protein complexes during the pioneer round of mRNA translation. Contributes to enhanced translational efficiency of spliced over nonspliced mRNAs. Recruits activated ribosomal protein S6 kinase beta-1 I/RPS6KB1 to newly synthesized mRNA.

    基因ID

    73826

    NCBI登录号

    NP_001334011

    UniProt

    Q8BG81
You are here: