NSFL1C 抗体
Our Local Distributor
北京 101111
Quick Overview for NSFL1C 抗体 (ABIN7074865)
抗原
See all NSFL1C 抗体适用
宿主
克隆类型
标记
应用范围
-
-
交叉反应
- 小鼠, 大鼠
-
纯化方法
- Affinity purification
-
免疫原
- Recombinant protein corresponding to Human NSFL1C
-
-
-
-
应用备注
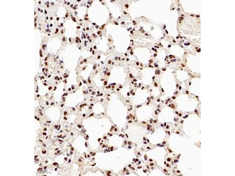
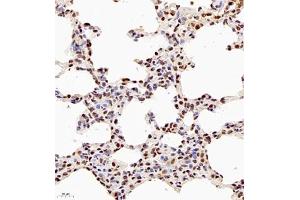
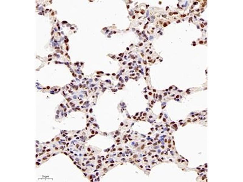
- IHC/IF (M,R) 1:700-1:2000/1:650-1:1300
-
限制
- 仅限研究用
-
-
-
状态
- Liquid
-
缓冲液
- PBS, pH 7.4, 0.02 % sodium azide
-
储存液
- Sodium azide
-
注意事项
- This product contains Sodium azide: a POISONOUS AND HAZARDOUS SUBSTANCE which should be handled by trained staff only.
-
储存条件
- -20 °C
-
-
- NSFL1C (NSFL1 (p97) Cofactor (p47) (NSFL1C))
-
别名
- NSFL1C
-
背景
- Reduces the ATPase activity of VCP. Necessary for the fragmentation of Golgi stacks during mitosis and for VCP-mediated reassembly of Golgi stacks after mitosis. May play a role in VCP-mediated formation of transitional endoplasmic reticulum (tER) (By similarity). Inhibits the activity of CTSL .
-
基因ID
- 386649
-
NCBI登录号
- NP_001278003
-
UniProt
- Q9CZ44
抗原
-