电话:
+86 (0512) 65829739
传真:
+86 (010) 6788 5057
电子邮件:
orders@antibodies-online.cn

Neurturin 抗体

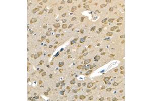
The 兔 多克隆 anti-Neurturin antibody (ABIN7074832) specifically detects Neurturin in IHC 和 IF. The antibody is reactive with 小鼠 和 大鼠 samples.
产品编号 ABIN7074832
发货至: 中国
Contact our Customer Service for availability and price in your country. Contact Info

Our Local Distributor

中国
北京 101111
No. 88 KeChuang 6th Street
Beijing Economic Technological Development Area
Room 801-803
4A Biotech Co.,Ltd.
Tel +86 (0512) 65829739 传真 +86 (010) 6788 5057

Quick Overview for Neurturin 抗体 (ABIN7074832)

抗原

See all Neurturin (NRTN) 抗体
Neurturin (NRTN)

适用

  • 51
  • 21
  • 16
  • 15
  • 5
  • 2
  • 2
  • 1
  • 1
  • 1
小鼠, 大鼠

宿主

  • 46
  • 3
  • 2
  • 1

克隆类型

  • 49
  • 3
多克隆

标记

  • 25
  • 3
  • 2
  • 2
  • 2
  • 1
  • 1
  • 1
  • 1
  • 1
  • 1
  • 1
  • 1
  • 1
  • 1
  • 1
  • 1
  • 1
  • 1
  • 1
  • 1
  • 1
  • 1
This Neurturin antibody is un-conjugated

应用范围

  • 45
  • 23
  • 13
  • 13
  • 7
  • 5
  • 4
  • 4
  • 3
  • 1
  • 1
  • 1
  • 1
Immunohistochemistry (IHC), Immunofluorescence (IF)
  • 交叉反应

    大鼠

    纯化方法

    Affinity purification

    免疫原

    Recombinant protein corresponding to Mouse Neurturin
  • 应用备注

    IHC/IF (M,R) 1:500-1:1500/1:800-1:1600

    限制

    仅限研究用
  • 状态

    Liquid

    缓冲液

    PBS, pH 7.4, 0.02 % sodium azide

    储存液

    Sodium azide

    注意事项

    This product contains Sodium azide: a POISONOUS AND HAZARDOUS SUBSTANCE which should be handled by trained staff only.

    储存条件

    -20 °C
  • 抗原

    Neurturin (NRTN)

    别名

    Neurturin

    背景

    Neurturin and GDNF define a new family of neurotrophic factors. Glial cell line-derived neurotrophic factor (GDNF) plays key roles in the control of vertebrate neuron survival and differentiation. Physiological responses to neurturin (NTN) require the presence of receptor tyrosine kinase RET and a novel glycosylphosphatidylinositol linked receptor NTNRalpha. NTN binds to and forms a complex with GFR-a-2 and the Ret PTK and activates the RET receptor tyrosine kinase pathway.

    基因ID

    18188

    NCBI登录号

    NP_032764

    UniProt

    P97463
You are here: