电话:
+86 (0512) 65829739
传真:
+86 (010) 6788 5057
电子邮件:
orders@antibodies-online.cn

HLA-DP 抗体

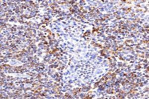
The 兔 多克隆 anti-HLA-DP antibody (ABIN7074613) specifically detects HLA-DP in IF 和 IHC. The antibody is reactive with 人 samples.
产品编号 ABIN7074613
发货至: 中国
Contact our Customer Service for availability and price in your country. Contact Info

Our Local Distributor

中国
北京 101111
No. 88 KeChuang 6th Street
Beijing Economic Technological Development Area
Room 801-803
4A Biotech Co.,Ltd.
Tel +86 (0512) 65829739 传真 +86 (010) 6788 5057

Quick Overview for HLA-DP 抗体 (ABIN7074613)

抗原

HLA-DP (MHC Class II HLA-DP (HLA-DP))

适用

宿主

  • 10
  • 1

克隆类型

  • 11
多克隆

标记

  • 2
  • 1
  • 1
  • 1
  • 1
  • 1
  • 1
  • 1
  • 1
  • 1
This HLA-DP antibody is un-conjugated

应用范围

Immunofluorescence (IF), Immunohistochemistry (IHC)
  • 纯化方法

    Affinity purification

    免疫原

    KLH conjugated Synthetic peptide corresponding to Human HLA-DP
  • 应用备注

    IHC/IF (H) 1:1200-1:2400

    限制

    仅限研究用
  • 状态

    Liquid

    缓冲液

    PBS, pH 7.4, 0.02 % sodium azide

    储存液

    Sodium azide

    注意事项

    This product contains Sodium azide: a POISONOUS AND HAZARDOUS SUBSTANCE which should be handled by trained staff only.

    储存条件

    -20 °C
  • 抗原

    HLA-DP (MHC Class II HLA-DP (HLA-DP))

    别名

    HLA-DP

    背景

    HLA-DPA1 belongs to the HLA class II alpha chain paralogues. This class II molecule is a heterodimer consisting of an alpha (DPA) and a beta (DPB) chain, both anchored in the membrane. It plays a central role in the immune system by presenting peptides derived from extracellular proteins. Class II molecules are expressed in antigen presenting cells (APC: B lymphocytes, dendritic cells, macrophages). The alpha chain is approximately 33-35 kDa and its gene contains 5 exons. Exon one encodes the leader peptide, exons 2 and 3 encode the two extracellular domains, exon 4 encodes the transmembrane domain and the cytoplasmic tail. Within the DP molecule both the alpha chain and the beta chain contain the polymorphisms specifying the peptide binding specificities, resulting in up to 4 different molecules.

    基因ID

    3113

    NCBI登录号

    NP_001229453

    UniProt

    P20036
You are here: