电话:
+86 (0512) 65829739
传真:
+86 (010) 6788 5057
电子邮件:
orders@antibodies-online.cn

MECOM 抗体

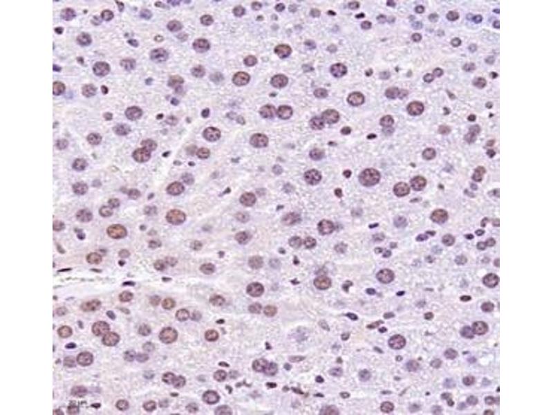
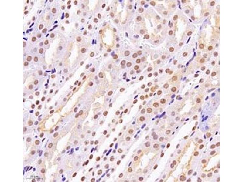
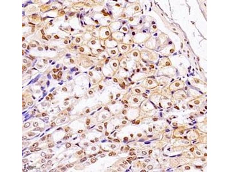
This 兔 多克隆 antibody specifically detects MECOM in WB, IHC 和 IF. It exhibits reactivity toward 人, 小鼠 和 大鼠.
产品编号 ABIN7074575
发货至: 中国
Contact our Customer Service for availability and price in your country. Contact Info

Our Local Distributor

中国
北京 101111
No. 88 KeChuang 6th Street
Beijing Economic Technological Development Area
Room 801-803
4A Biotech Co.,Ltd.
Tel +86 (0512) 65829739 传真 +86 (010) 6788 5057

Quick Overview for MECOM 抗体 (ABIN7074575)

抗原

See all MECOM 抗体
MECOM (MDS1 and EVI1 Complex Locus (MECOM))

适用

  • 60
  • 20
  • 5
  • 3
  • 2
  • 2
  • 2
  • 2
  • 1
  • 1
人, 小鼠, 大鼠

宿主

  • 49
  • 14
  • 1

克隆类型

  • 52
  • 12
多克隆

标记

  • 39
  • 5
  • 4
  • 4
  • 3
  • 3
  • 1
  • 1
  • 1
  • 1
  • 1
  • 1
This MECOM antibody is un-conjugated

应用范围

  • 47
  • 35
  • 8
  • 4
  • 3
  • 2
  • 1
  • 1
  • 1
  • 1
Western Blotting (WB), Immunohistochemistry (IHC), Immunofluorescence (IF)
  • 交叉反应

    人, 大鼠

    纯化方法

    Affinity purification

    免疫原

    KLH conjugated Synthetic peptide corresponding to Mouse EVI1
  • 应用备注

    WB (H,M) 1:500-1:1000, IHC/IF (M,R) 1:2000-1:4000/1:700-1:1400

    限制

    仅限研究用
  • 状态

    Liquid

    缓冲液

    PBS, pH 7.4, 0.02 % sodium azide

    储存液

    Sodium azide

    注意事项

    This product contains Sodium azide: a POISONOUS AND HAZARDOUS SUBSTANCE which should be handled by trained staff only.

    储存条件

    -20 °C
  • 抗原

    MECOM (MDS1 and EVI1 Complex Locus (MECOM))

    别名

    EVI1

    背景

    The protein encoded by this gene is a transcriptional regulator and oncoprotein that may be involved in hematopoiesis, apoptosis, development, and cell differentiation and proliferation. The encoded protein can interact with CTBP1, SMAD3, CREBBP, KAT2B, MAPK8, and MAPK9. This gene can undergo translocation with the AML1 gene, resulting in overexpression of this gene and the onset of leukemia. Several transcript variants encoding a few different isoforms have been found for this gene.

    分子量

    118 kDa

    基因ID

    14013

    NCBI登录号

    NP_067417

    UniProt

    P14404
You are here: