LGALS8 抗体
Our Local Distributor
北京 101111
Quick Overview for LGALS8 抗体 (ABIN7074474)
抗原
See all LGALS8 抗体适用
宿主
克隆类型
标记
应用范围
-
-
交叉反应
- 大鼠
-
纯化方法
- Affinity purification
-
免疫原
- Recombinantproteincorrespondingto Mouse Galectin 8/Gal-8
-
-
-
-
应用备注
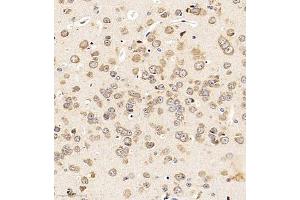
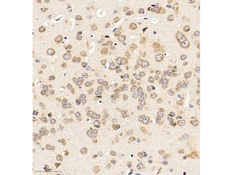
- IHC/IF (M,R) 1:500-1:2000
-
限制
- 仅限研究用
-
-
-
状态
- Liquid
-
缓冲液
- PBS, pH 7.4, 0.02 % sodium azide
-
储存液
- Sodium azide
-
注意事项
- This product contains Sodium azide: a POISONOUS AND HAZARDOUS SUBSTANCE which should be handled by trained staff only.
-
储存条件
- -20 °C
-
-
- LGALS8 (Lectin, Galactoside-Binding, Soluble, 8 (LGALS8))
-
别名
- Galectin 8/Gal-8
-
背景
- This gene encodes a member of the galectin family. Galectins are beta-galactoside-binding animal lectins with conserved carbohydrate recognition domains. The galectins have been implicated in many essential functions including development, differentiation, cell-cell adhesion, cell-matrix interaction, growth regulation, apoptosis, and RNA splicing. This gene is widely expressed in tumoral tissues and seems to be involved in integrin-like cell interactions. Alternatively spliced transcript variants encoding different isoforms have been identified.
-
基因ID
- 56048
-
NCBI登录号
- NP_001185972
-
UniProt
- Q9JL15
抗原
-