电话:
+86 (0512) 65829739
传真:
+86 (010) 6788 5057
电子邮件:
orders@antibodies-online.cn

Galanin 抗体

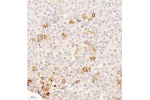
The 兔 多克隆 anti-Galanin antibody (ABIN7074010) specifically detects Galanin in IHC 和 IF. The antibody is reactive with 小鼠 和 大鼠 samples.
产品编号 ABIN7074010
发货至: 中国
Contact our Customer Service for availability and price in your country. Contact Info

Our Local Distributor

中国
北京 101111
No. 88 KeChuang 6th Street
Beijing Economic Technological Development Area
Room 801-803
4A Biotech Co.,Ltd.
Tel +86 (0512) 65829739 传真 +86 (010) 6788 5057

Quick Overview for Galanin 抗体 (ABIN7074010)

抗原

See all Galanin (GAL) 抗体
Galanin (GAL)

适用

  • 32
  • 4
  • 3
  • 3
  • 1
  • 1
小鼠, 大鼠

宿主

  • 31
  • 5
  • 1

克隆类型

  • 33
  • 4
多克隆

标记

  • 20
  • 7
  • 4
  • 2
  • 2
  • 1
  • 1
This Galanin antibody is un-conjugated

应用范围

  • 24
  • 19
  • 14
  • 13
  • 13
  • 7
  • 6
  • 6
  • 4
  • 3
  • 1
  • 1
  • 1
  • 1
  • 1
  • 1
Immunohistochemistry (IHC), Immunofluorescence (IF)
  • 交叉反应

    小鼠, 大鼠

    纯化方法

    Affinity purification

    免疫原

    Recombinant protein corresponding to Human Galanin
  • 应用备注

    IHC/IF (M,R) 1:500-1:2000

    限制

    仅限研究用
  • 状态

    Liquid

    缓冲液

    PBS, pH 7.4, 0.02 % sodium azide

    储存液

    Sodium azide

    注意事项

    This product contains Sodium azide: a POISONOUS AND HAZARDOUS SUBSTANCE which should be handled by trained staff only.

    储存条件

    -20 °C
  • 抗原

    Galanin (GAL)

    别名

    Galanin

    背景

    Galanin is small neuropeptide that functions as a cellular messenger within the central and peripheral nervous systems, modulating diverse physiologic functions .

    基因ID

    14419

    NCBI登录号

    NP_034383

    UniProt

    P47212

    途径

    Regulation of Hormone Metabolic Process, Feeding Behaviour
You are here: