电话:
+86 (0512) 65829739
传真:
+86 (010) 6788 5057
电子邮件:
orders@antibodies-online.cn

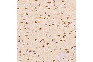
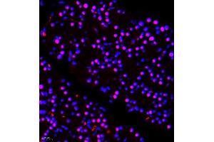
FAM117B 抗体

This 兔 多克隆 antibody specifically detects FAM117B in IF 和 IHC. It exhibits reactivity toward 小鼠 和 大鼠.
产品编号 ABIN7073909
发货至: 中国
Contact our Customer Service for availability and price in your country. Contact Info

Our Local Distributor

中国
北京 101111
No. 88 KeChuang 6th Street
Beijing Economic Technological Development Area
Room 801-803
4A Biotech Co.,Ltd.
Tel +86 (0512) 65829739 传真 +86 (010) 6788 5057

Quick Overview for FAM117B 抗体 (ABIN7073909)

抗原

FAM117B (Family with Sequence Similarity 117, Member B (FAM117B))

适用

  • 22
  • 7
  • 3
  • 1
  • 1
  • 1
  • 1
  • 1
  • 1
小鼠, 大鼠

宿主

  • 22

克隆类型

  • 22
多克隆

标记

  • 12
  • 2
  • 1
  • 1
  • 1
  • 1
  • 1
  • 1
  • 1
  • 1
This FAM117B antibody is un-conjugated

应用范围

  • 12
  • 11
  • 3
  • 2
  • 1
  • 1
  • 1
Immunofluorescence (IF), Immunohistochemistry (IHC)
You are here: