电话:
+86 (0512) 65829739
传真:
+86 (010) 6788 5057
电子邮件:
orders@antibodies-online.cn

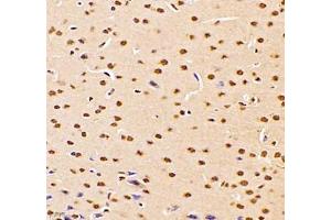
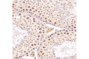
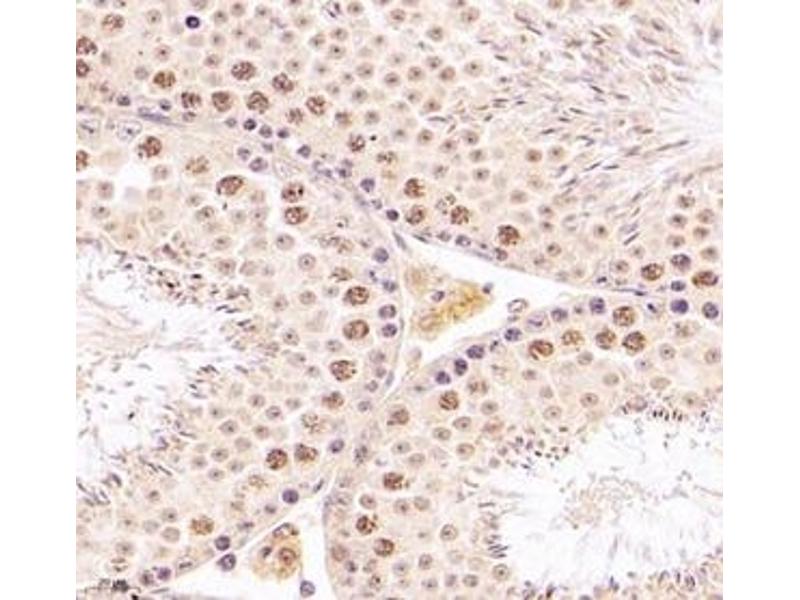
DMRTA2 抗体

This 兔 多克隆 antibody specifically detects DMRTA2 in WB, IHC 和 IF. It exhibits reactivity toward 人, 小鼠 和 大鼠.
产品编号 ABIN7073753
发货至: 中国
Contact our Customer Service for availability and price in your country. Contact Info

Our Local Distributor

中国
北京 101111
No. 88 KeChuang 6th Street
Beijing Economic Technological Development Area
Room 801-803
4A Biotech Co.,Ltd.
Tel +86 (0512) 65829739 传真 +86 (010) 6788 5057

Quick Overview for DMRTA2 抗体 (ABIN7073753)

抗原

See all DMRTA2 抗体
DMRTA2 (DMRT-Like Family A2 (DMRTA2))

适用

  • 30
  • 6
  • 3
  • 3
  • 2
  • 2
  • 1
  • 1
  • 1
  • 1
  • 1
人, 小鼠, 大鼠

宿主

  • 30

克隆类型

  • 30
多克隆

标记

  • 11
  • 2
  • 2
  • 2
  • 1
  • 1
  • 1
  • 1
  • 1
  • 1
  • 1
  • 1
  • 1
  • 1
  • 1
  • 1
  • 1
This DMRTA2 antibody is un-conjugated

应用范围

  • 29
  • 13
  • 13
  • 11
  • 4
  • 4
  • 3
  • 3
  • 1
  • 1
Western Blotting (WB), Immunohistochemistry (IHC), Immunofluorescence (IF)
  • 交叉反应

    人, 大鼠

    纯化方法

    Affinity purification

    免疫原

    Recombinant protein corresponding to Mouse DMRTA2
  • 应用备注

    WB (H) 1:500-1:1000, IHC/IF (M,R) 1:700-1:1400/1:600-1:1200

    限制

    仅限研究用
  • 状态

    Liquid

    缓冲液

    PBS, pH 7.4, 0.02 % sodium azide

    储存液

    Sodium azide

    注意事项

    This product contains Sodium azide: a POISONOUS AND HAZARDOUS SUBSTANCE which should be handled by trained staff only.

    储存条件

    -20 °C
  • 抗原

    DMRTA2 (DMRT-Like Family A2 (DMRTA2))

    别名

    DMRTA2

    背景

    DMRTA2 is a 542 amino acid protein that localizes to the nucleus and contains one DM DNA-binding domain. Expressed testis, DMRTA2 is thought to be involved in sexual developmental processes during maturation. The gene encoding DMRTA2 maps to human chromosome 1, which spans 260 million base pairs, contains over 3,000 genes and comprises nearly 8 % of the human genome. Chromosome 1 houses a large number of disease-associated genes, including those that are involved in familial adenomatous polyposis, Stickler syndrome.

    分子量

    53 kDa

    基因ID

    242620

    NCBI登录号

    NP_758500

    UniProt

    A2A9A2
You are here: