电话:
+86 (0512) 65829739
传真:
+86 (010) 6788 5057
电子邮件:
orders@antibodies-online.cn

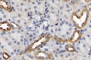
CLDN10 抗体

The 兔 多克隆 anti-CLDN10 antibody is suitable to detect CLDN10 in samples from 大鼠. It has been validated for IHC 和 IF.
产品编号 ABIN7073514
发货至: 中国
Contact our Customer Service for availability and price in your country. Contact Info

Our Local Distributor

中国
北京 101111
No. 88 KeChuang 6th Street
Beijing Economic Technological Development Area
Room 801-803
4A Biotech Co.,Ltd.
Tel +86 (0512) 65829739 传真 +86 (010) 6788 5057

Quick Overview for CLDN10 抗体 (ABIN7073514)

抗原

See all CLDN10 抗体
CLDN10 (Claudin 10 (CLDN10))

适用

  • 50
  • 16
  • 6
  • 3
  • 2
  • 2
  • 1
  • 1
  • 1
  • 1
大鼠

宿主

  • 50
  • 1

克隆类型

  • 51
多克隆

标记

  • 16
  • 4
  • 3
  • 3
  • 2
  • 2
  • 2
  • 2
  • 2
  • 2
  • 1
  • 1
  • 1
  • 1
  • 1
  • 1
  • 1
  • 1
  • 1
  • 1
  • 1
  • 1
  • 1
This CLDN10 antibody is un-conjugated

应用范围

  • 15
  • 15
  • 15
  • 15
  • 9
  • 8
  • 4
  • 3
  • 2
  • 1
Immunohistochemistry (IHC), Immunofluorescence (IF)
  • 交叉反应

    大鼠

    纯化方法

    Affinity purification

    免疫原

    KLH conjugated Synthetic peptide corresponding to Human Claudin 10
  • 应用备注

    IHC/IF (R) 1:800-1:2000/1:800-1:1600

    限制

    仅限研究用
  • 状态

    Liquid

    缓冲液

    PBS, pH 7.4, 0.02 % sodium azide

    储存液

    Sodium azide

    注意事项

    This product contains Sodium azide: a POISONOUS AND HAZARDOUS SUBSTANCE which should be handled by trained staff only.

    储存条件

    -20 °C
  • 抗原

    CLDN10 (Claudin 10 (CLDN10))

    别名

    Claudin 10

    背景

    Claudin-10 is a 228 amino acid multi-pass membrane protein that belongs to the claudin family and plays an important role in cell-adhesion activity and tight junction-specific events.The claudin superfamily consists of many structurally related proteins in humans. These proteins are important structural and functional components of tight junctions in paracellular transport. Claudins are located in both epithelial and endothelial cells in all tight junction-bearing tissues. Claudins, which consist of four transmembrane domains and two extracellular loops, make up tight junction strands.

    基因ID

    58187

    NCBI登录号

    NP_001153568

    UniProt

    Q9Z0S6

    途径

    Hepatitis C
You are here: