电话:
+86 (0512) 65829739
传真:
+86 (010) 6788 5057
电子邮件:
orders@antibodies-online.cn

CLCA1 抗体

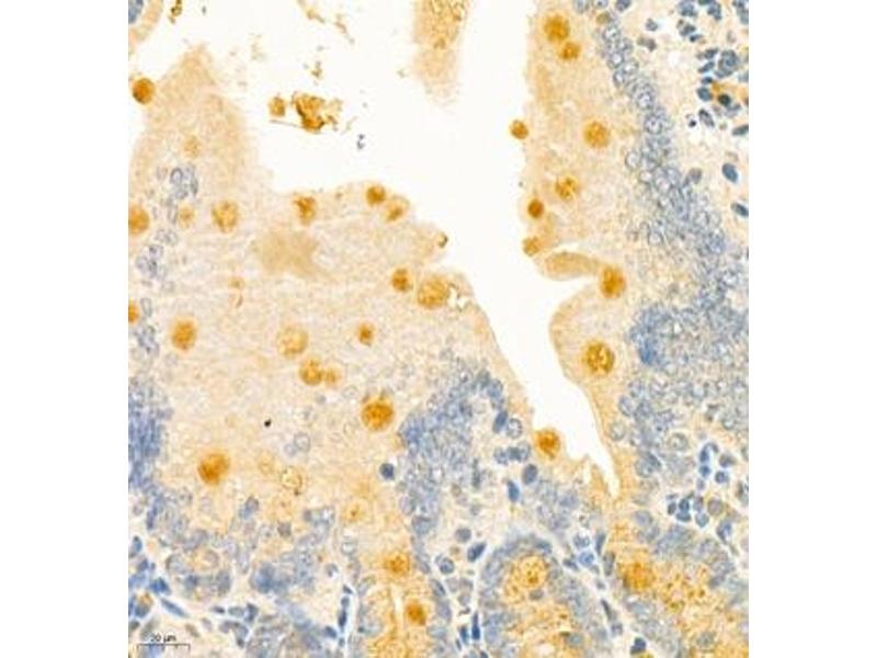
The 兔 多克隆 anti-CLCA1 antibody is suitable to detect CLCA1 in samples from 小鼠 和 大鼠. It has been validated for IHC 和 IF.
产品编号 ABIN7073472
发货至: 中国
Contact our Customer Service for availability and price in your country. Contact Info

Our Local Distributor

中国
北京 101111
No. 88 KeChuang 6th Street
Beijing Economic Technological Development Area
Room 801-803
4A Biotech Co.,Ltd.
Tel +86 (0512) 65829739 传真 +86 (010) 6788 5057

Quick Overview for CLCA1 抗体 (ABIN7073472)

抗原

See all CLCA1 抗体
CLCA1 (Chloride Channel Accessory 1 (CLCA1))

适用

  • 24
  • 3
  • 2
小鼠, 大鼠

宿主

  • 15
  • 7
  • 2

克隆类型

  • 17
  • 7
多克隆

标记

  • 21
  • 1
  • 1
  • 1
This CLCA1 antibody is un-conjugated

应用范围

  • 19
  • 12
  • 11
  • 6
  • 5
  • 4
  • 4
  • 2
  • 1
  • 1
Immunohistochemistry (IHC), Immunofluorescence (IF)
  • 交叉反应

    大鼠

    纯化方法

    Affinity purification

    免疫原

    Recombinant protein corresponding to Mouse CLCA1
  • 应用备注

    IHC/IF (M,R) 1:700-1:1400

    限制

    仅限研究用
  • 状态

    Liquid

    缓冲液

    PBS, pH 7.4, 0.02 % sodium azide

    储存液

    Sodium azide

    注意事项

    This product contains Sodium azide: a POISONOUS AND HAZARDOUS SUBSTANCE which should be handled by trained staff only.

    储存条件

    -20 °C
  • 抗原

    CLCA1 (Chloride Channel Accessory 1 (CLCA1))

    别名

    CLCA1

    背景

    This gene encodes a member of the calcium sensitive chloride conductance protein family. To date, all members of this gene family map to the same region on chromosome 1p31-p22 and share a high degree of homology in size, sequence, and predicted structure, but differ significantly in their tissue distributions. The encoded protein is expressed as a precursor protein that is processed into two cell-surface-associated subunits, although the site at which the precursor is cleaved has not been precisely determined. The encoded protein may be involved in mediating calcium-activated chloride conductance in the intestine.

    基因ID

    23844

    NCBI登录号

    NP_059502

    UniProt

    Q9D7Z6
You are here: