电话:
+86 (0512) 65829739
传真:
+86 (010) 6788 5057
电子邮件:
orders@antibodies-online.cn

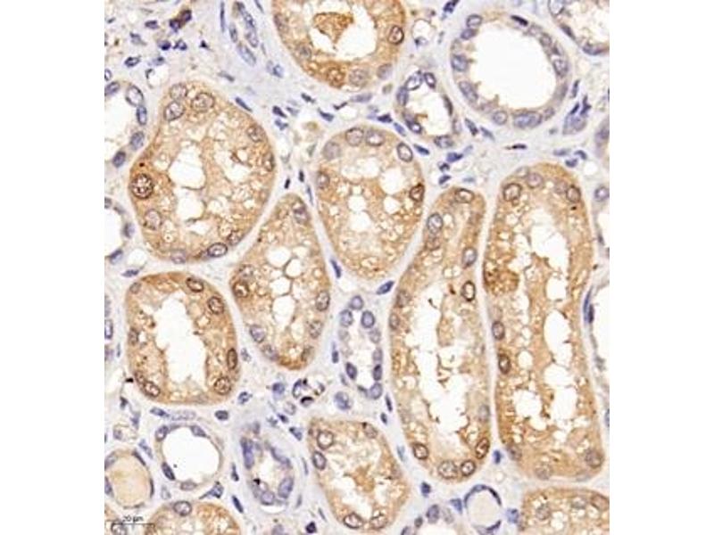
Chloride Channel 5 抗体

This 兔 多克隆 antibody specifically detects Chloride Channel 5 in IHC 和 IF. It exhibits reactivity toward 人, 大鼠 和 小鼠.
产品编号 ABIN7073471
发货至: 中国
Contact our Customer Service for availability and price in your country. Contact Info

Our Local Distributor

中国
北京 101111
No. 88 KeChuang 6th Street
Beijing Economic Technological Development Area
Room 801-803
4A Biotech Co.,Ltd.
Tel +86 (0512) 65829739 传真 +86 (010) 6788 5057

Quick Overview for Chloride Channel 5 抗体 (ABIN7073471)

抗原

See all Chloride Channel 5 (CLCN5) 抗体
Chloride Channel 5 (CLCN5)

适用

  • 45
  • 21
  • 13
  • 2
  • 2
  • 2
  • 2
  • 2
  • 2
  • 1
人, 大鼠, 小鼠

宿主

  • 45
  • 8

克隆类型

  • 46
  • 7
多克隆

标记

  • 20
  • 4
  • 3
  • 3
  • 1
  • 1
  • 1
  • 1
  • 1
  • 1
  • 1
  • 1
  • 1
  • 1
  • 1
  • 1
  • 1
  • 1
  • 1
  • 1
  • 1
  • 1
  • 1
  • 1
  • 1
  • 1
  • 1
This Chloride Channel 5 antibody is un-conjugated

应用范围

  • 21
  • 21
  • 13
  • 13
  • 10
  • 7
  • 3
  • 3
Immunohistochemistry (IHC), Immunofluorescence (IF)
  • 交叉反应

    人, 大鼠

    纯化方法

    Affinity purification

    免疫原

    KLH conjugated Synthetic peptide corresponding to Mouse ClC-5
  • 应用备注

    IHC/IF (H,M,R) 1:100-1:400

    限制

    仅限研究用
  • 状态

    Liquid

    缓冲液

    PBS, pH 7.4, 0.02 % sodium azide

    储存液

    Sodium azide

    注意事项

    This product contains Sodium azide: a POISONOUS AND HAZARDOUS SUBSTANCE which should be handled by trained staff only.

    储存条件

    -20 °C
  • 抗原

    Chloride Channel 5 (CLCN5)

    别名

    ClC-5

    背景

    The family of voltage-dependent chloride channels (CLCs) regulate cellular trafficking of chloride ions, a critical component of all living cells. CLCs regulate excitability in muscle and nerve cells, aid in organic solute transport and maintain cellular volume.Mutations in the gene encoding CLC1 lead to myotonia, an inheritable disorder characterized by muscle stiffness and renal salt wasting. CLC2 is highly expressed in the epithelia of several organs including lung, which suggests CLC2 may be a possible therapeutic target for cystic fibrosis. CLC3 expression is particularly abundant in neuronal tissue, while CLC4 expression is evident in skeletal and cardiac muscle as well as brain. Mutations in the gene encoding CLC5 lead to Dent's disease, a renal disorder characterized by proteinuria and hypercalciuria.

    基因ID

    12728

    NCBI登录号

    NP_001230691

    UniProt

    Q9WVD4
You are here: