电话:
+86 (0512) 65829739
传真:
+86 (010) 6788 5057
电子邮件:
orders@antibodies-online.cn

Cdc25 抗体

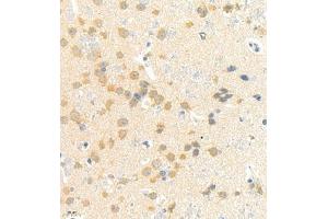
The 兔 多克隆 anti-Cdc25 antibody (ABIN7073422) specifically detects Cdc25 in IHC 和 IF. The antibody is reactive with 小鼠 和 大鼠 samples.
产品编号 ABIN7073422
发货至: 中国
Contact our Customer Service for availability and price in your country. Contact Info

Our Local Distributor

中国
北京 101111
No. 88 KeChuang 6th Street
Beijing Economic Technological Development Area
Room 801-803
4A Biotech Co.,Ltd.
Tel +86 (0512) 65829739 传真 +86 (010) 6788 5057

Quick Overview for Cdc25 抗体 (ABIN7073422)

抗原

Cdc25 (CDC25) (Cell Division Cycle 25 (CDC25))

适用

小鼠, 大鼠

宿主

  • 3
  • 1

克隆类型

  • 3
  • 1
多克隆

标记

  • 4
This Cdc25 antibody is un-conjugated

应用范围

  • 4
  • 4
  • 3
  • 2
  • 1
Immunohistochemistry (IHC), Immunofluorescence (IF)
  • 交叉反应

    大鼠

    纯化方法

    Affinity purification

    免疫原

    Recombinant protein corresponding to Mouse CDC25
  • 应用备注

    IHC/IF (M,R) 1:2000-1:4000/1:1000-1:3000

    限制

    仅限研究用
  • 状态

    Liquid

    缓冲液

    PBS, pH 7.4, 0.02 % sodium azide

    储存液

    Sodium azide

    注意事项

    This product contains Sodium azide: a POISONOUS AND HAZARDOUS SUBSTANCE which should be handled by trained staff only.

    储存条件

    -20 °C
  • 抗原

    Cdc25 (CDC25) (Cell Division Cycle 25 (CDC25))

    别名

    CDC25

    背景

    The protein encoded by this gene is a guanine nucleotide exchange factor (GEF) similar to the Saccharomyces cerevisiae CDC25 gene product. Functional analysis has demonstrated that this protein stimulates the dissociation of GDP from RAS protein. The studies of the similar gene in mouse suggested that the Ras-GEF activity of this protein in brain can be activated by Ca2+ influx, muscarinic receptors, and G protein beta-gamma subunit.

    基因ID

    19417

    NCBI登录号

    NP_035375

    UniProt

    P27671
You are here: