电话:
+86 (0512) 65829739
传真:
+86 (010) 6788 5057
电子邮件:
orders@antibodies-online.cn

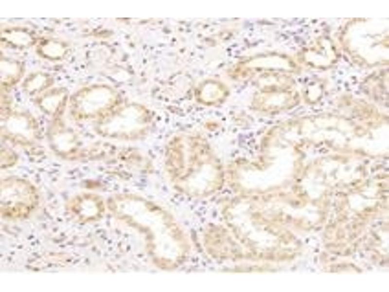
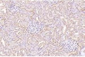
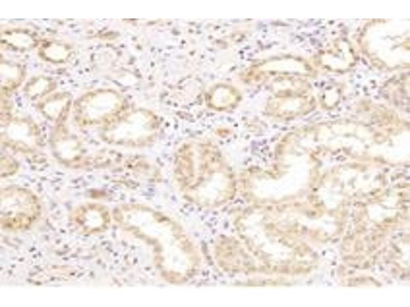
Cathepsin L2 抗体

This 兔 多克隆 antibody specifically detects Cathepsin L2 in IHC 和 IF. It exhibits reactivity toward 人, 小鼠 和 大鼠.
产品编号 ABIN7073348
发货至: 中国
Contact our Customer Service for availability and price in your country. Contact Info

Our Local Distributor

中国
北京 101111
No. 88 KeChuang 6th Street
Beijing Economic Technological Development Area
Room 801-803
4A Biotech Co.,Ltd.
Tel +86 (0512) 65829739 传真 +86 (010) 6788 5057

Quick Overview for Cathepsin L2 抗体 (ABIN7073348)

抗原

See all Cathepsin L2 (CTSL2) 抗体
Cathepsin L2 (CTSL2)

适用

  • 31
  • 12
  • 4
  • 3
  • 2
  • 2
  • 2
  • 1
  • 1
  • 1
  • 1
人, 小鼠, 大鼠

宿主

  • 27
  • 4

克隆类型

  • 28
  • 3
多克隆

标记

  • 24
  • 1
  • 1
  • 1
  • 1
  • 1
  • 1
  • 1
This Cathepsin L2 antibody is un-conjugated

应用范围

  • 23
  • 9
  • 8
  • 3
  • 2
  • 1
  • 1
  • 1
Immunohistochemistry (IHC), Immunofluorescence (IF)
  • 交叉反应

    小鼠, 大鼠

    纯化方法

    Affinity purification

    免疫原

    Recombinant protein corresponding to Human Cathepsin V
  • 应用备注

    IHC/IF (H,M,R) 1:1000-1:2000/1:300-1:600

    限制

    仅限研究用
  • 状态

    Liquid

    缓冲液

    PBS, pH 7.4, 0.02 % sodium azide

    储存液

    Sodium azide

    注意事项

    This product contains Sodium azide: a POISONOUS AND HAZARDOUS SUBSTANCE which should be handled by trained staff only.

    储存条件

    -20 °C
  • 抗原

    Cathepsin L2 (CTSL2)

    别名

    Cathepsin V

    背景

    Cathepsin V is a lysosomal cysteine protease which has an important role in corneal physiology.Cathepsin V was found to be differentially expressed in relation to pigmentary skin backgrounds, and was about 7.5-folds higher in keratinocytes from lightly pigmented, relative to darkly pigmented skins. It is expressed in primary keratinocytes, melanocytes, and HaCaT keratinocytes, but not in primary fibroblasts. The purified cathepsin L2 was a high molecular weight proteinase of about 78 kDa, but it was unstable to SDS and reducing conditions, which dissociated parts of the proteinase into 66 kDa, 31 kDa and 26 kDa fragments(Food Chemistry,Volume11,Issue4,879-886) and it can form a complex of 70 kDa with an unidentified subunit.

    基因ID

    1515

    NCBI登录号

    NP_001188504

    UniProt

    O60911

    途径

    Toll-Like Receptors Cascades
You are here: